모란역치과 <더서울치과> 눈에 보이지 않는 사이충치, 빠른 치료가 중요합니다
안녕하세요~! 모란역치과 더서울치과입니다.
'충치' 정말 많이 들어보셨죠.
특히 치과에 가시게된 이유 중에서 가장 많은 이유를 차지하는게
바로 '충치' 때문이라고 대답하실 분들이 정말 많으실거에요.
하지만 '충치'라 하더라도 다 같은 충치가 아닙니다.
진행 정도에 따라서도 치료 방법과 비용, 치료에 필요한 시간이 모두
달라지게 되는데, 또 충치가 생긴 위치에 따라서도 상황이 달라지게 된답니다.
Moran Station Dental Clinic <The Seoul Dental Clinic> Invisible Pseudo-chormorant, quick treatment is important
Hello~! I'm Moran Station Dental Clinic and The Seoul Dental Clinic.
You've listened to "The Inferiority" a lot.
Especially, the most common reason for going to the dentist is that
I'm sure there are a lot of people who will answer that it's because of the tooth decay.
However, even if it's a tooth decay, it's not all the same tooth decay.
Depending on the progress, the treatment method, cost, and time required for the treatment are all
It will change, and the situation will also change depending on the location of the cavity.
그런면에서, 오늘은 일반적이지 않지만
빠른 치료가 아주 중요한 '인접면 충치'에 대해서 알아볼게요!
인접면 충치는 Proximal caires'라고 하고 '인접면 우식'이라고도 합니다.
말 그대로 치아와 치아가 인접한 사이에 생긴 충치를 의미한답니다.
In that sense, although it's not common today
Let's learn about "adjacent cavities" where quick treatment is very important!
Adjacent cavities are called Proximal Cairns and are also called 'adjacent caries'.
It literally means a cavity between a tooth and a tooth.

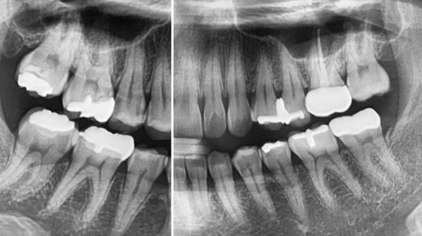
이 충치가 무서운 이유는 바로 일반적인 환자분들이 스스로 찾을수가 없는 충치의 형태이고
치과의사 역시 육안검진을 했을때 발견하기 매우 힘든 충치이기 때문입니다.
위의 사진을 보시면 충치가 전혀 보이지 않죠?
이게 정말 무서운 점입니다.
The reason why this cavity is so scary is because it's a form of cavity that normal patients can't find on their own
This is because dentists are also very difficult to detect when they have a visual examination.
If you look at the picture above, you don't see any cavities, right?
That's what's really scary about it.
이 환자분 역시 욱신거리는 통증이 있어서 저희 모란역치과 더서울치과를
찾아오시게 되었고 엑스레이로 촬영을 해본 결과 인접면에 사이충치가 확인된 것 입니다.
This patient also has throbbing pain, so we went to Moran Station and The Seoul Dental Clinic
You came to visit, and as a result of X-raying, a false tooth was confirmed on the adjacent side.
특히 사이충치는 인접면의 치아를 많이 깎아내야 한다는 단점이 있습니다.
왜냐하면 인접면은 상대적으로 치아의 윗부분보다 치아의 단단한 부분인
인접면이 얇기 때문에 빠르게 안으로 충치가 진행되는 특성이 있습니다.
때문에 깊게 치아를 삭제하고 치료를 해야 합니다.
In particular, the disadvantage of having to sharpen a lot of teeth on the adjacent side is that plexus dentures have to be sharpened.
Because the adjacent side is a relatively harder part of the tooth than the upper part of the tooth
Because the adjacent surface is thin, it has the characteristic that cavities quickly progress inside.
Therefore, you need to deeply remove your teeth and treat them.
저희 모란역치과 더서울치과는 디지털치과로서
다양한 진료, 치료에 디지털 치과 방식을 적용합니다.
환자분의 충치를 삭제한 후 보철을 제작할때
이렇게 구강스캔을 한 후 3D CAD/CAM을 통해
오차없이 정확하게 형태를 조각합니다.
Moran Station Dental Clinic The Seoul Dental Clinic is a digital dentist
We apply digital dental techniques to various treatments and treatments.
When you make a prosthesis after you remove your cavity
After you scan your mouth like this, you can use 3D CAD/CAM
Sculpt shapes accurately without error.
이렇게 컴퓨터로 보철이 제대로 맞물리는지 확인을 할 수 있기때문에
환자와 치과의사 모두에게 편리하고 좋은 방식이랍니다.
You can check if the prosthetics fit properly with your computer
It's a convenient and good way for both patients and dentists.
치아와 비슷한 세라믹 인레이로 제작하여 치료가 끝난 모습입니다.
위처럼 표시를 안했다면 어디를 치료했는지 잘 모르실 수 있습니다.
심미적으로도 좋고, 세라믹 재료의 인레이는 높은 경도를 가지고 있어
파절될 위험도 많이 낮답니다.
It is made of ceramic inlay similar to teeth and has been treated.
If you don't mark it as above, you may not know where you treated it.
It's aesthetically good, and the ceramic material's inlay has high hardness
The risk of breaking down is also very low.
인접면 충치치료를 보셨는데요, 저희 모란역치과 더서울치과에서는
이렇게 디지털방식으로 치과진료를 도와드리고 있습니다.
혹시 치아가 욱신거리신다면 저희 더서울치과를 찾아주세요!
You've seen the treatment for dental caries in the neighborhood. At Moran Station and The Seoul Dental Clinic
We are helping you with dental treatment digitally.
If you have throbbing teeth, please visit The Seoul Dentist!
#모란역치과 #더서울치과 #사이충치 #인접면충치 #모란역더서울치과 #충치치료 #세라믹인레이 #인레이
[출처] 모란역치과 <더서울치과> 눈에 보이지 않는 사이충치, 빠른 치료가 중요합니다|작성자 더서울치과