더서울치과이야기

Theseoul dental story 529

작성자 더서울치과 등록일 2024-01-29 00:20:42 조회수 1,083회 댓글수 0건

태평역치과 더서울치과에서 정상적으로 맹출된 사랑니도 발치를 한 이유!

 

 

 

안녕하세요. 태평역치과 더서울치과입니다.

오늘은 사랑니 발치에 대한 이야기를 말씀드릴게요.

 

매복 사랑니, 누운 사랑니 등등 

사랑니를 발치한다고 하면 이런 치아들이 생각나실텐데요.

올곧게 잘 올라온 사랑니 역시 발치를 해야할 수 있습니다.

 

이 환자분께서는 어금니쪽 통증이 너무 심하시다는

말씀을 하시며 저희 더서울치과를 찾아오셨습니다.

충치때문인것 같다고 하셔서 먼저 육안 관찰을 했습니다.

The reason why I also had my wisdom teeth pulled out normally at Taepyeong Station Dental Clinic and The Seoul Dental Clinic!

 

 

 

Hello, I'm The Seoul Dental Clinic at Taepyeong Station.

Today, I'm going to tell you about wisdom tooth extraction.

 

Ambush wisdom teeth, lying wisdom teeth, etc

When you think of extracting wisdom teeth, you may think of these teeth.

Wisdom teeth that are straight up may also need to be pulled out.

 

This patient has severe molar pain

As you said, you came to The Seoul Dental Clinic.

I heard it was because of a cavity, so I observed it with the naked eye first.

 

313a5e3dbe6055f3526ec9ddb43735dc_1706455213_9987.jpg
 

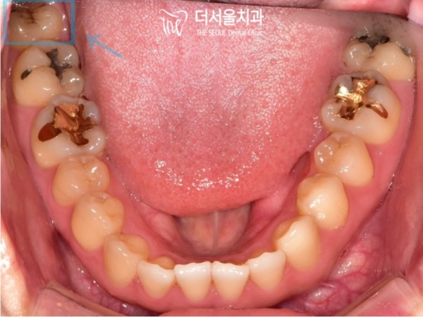
한눈에 보다오 사랑니의 교합면 중심구에 충치가 보입니다.

검게 퍼져있는 충치가 잘 보이죠? 사랑니가 올곧게 자라나 있지만

너무 깊은곳에 있는 사랑니는 양치질이 잘 되지 않아서

이렇게 충치가 생기기 쉽습니다.

이러한 이유로, 올곧게 자란 사랑니도 발치를 하게된답니다.

At a glance, you can see a cavity in the center of the occlusal surface of the wisdom tooth.

You can see the black tooth, right? My wisdom tooth is growing straight

Wisdom teeth that are too deep can't be brushed well

It's easy to get cavities like this.

For this reason, straight wisdom teeth are also pulled out.

 

313a5e3dbe6055f3526ec9ddb43735dc_1706455218_8508.jpg
 

 

물론 사랑니는 무조건 발치해야 하는것이 아닙니다.

곧게 위로 잘 맹출되어있고 양치질로 관리가 잘 되는 위치에 있다면

꼭 발치를 하지 않아도 괜찮습니다.

 

하지만

충치가 생겼거나

누워있거나

앞의 어금니를 물고있을때는

바로 뽑아야 하는 것이 맞습니다.

Of course, wisdom teeth are not necessarily extracted.

If you're in a position where it spreads out well and takes care of it by brushing your teeth

You don't have to extract it.

 

but

If you have a cavity

If you're lying down

When I was biting my molars in front of me

It's right that you have to pick it right away.

 

 

313a5e3dbe6055f3526ec9ddb43735dc_1706455224_7981.jpg
 

 

환자분의 치아 엑스레이 사진을 보아도

사랑니가 곧게 맹출되어 있는것이 보입니다.

이렇게 자란 사랑니는 빠르게 뽑을 수 있습니다만

그 전에 꼭 '하치조 신경관'과의 거리를 확인해야 합니다.

Even if you look at the x-ray of your teeth

I can see that the wisdom tooth is out straight.

You can pull out wisdom teeth that grew like this quickly

Before that, make sure to check the distance from the 'lower alveolar nerve tube'.

 

313a5e3dbe6055f3526ec9ddb43735dc_1706455228_7219.jpg
 

 

파노라마 엑스레이로 보았을때에는 신경관과

사랑니 뿌리가 아주 가까워 보이는것이 문제인 상황입니다.

저 신경을 잘못건드리면 안면마비, 신경손상... 아주 큰 부작용이 생길 수 있습니다.

Panorama X-ray shows that the neural tube and

The problem is that the wisdom tooth roots look very close.

If you touch those nerves incorrectly, you can have very big side effects, like facial paralysis, nerve damage.

 

313a5e3dbe6055f3526ec9ddb43735dc_1706455233_3362.jpg
 

 

CT촬영을 통해 자세히 보니, 신경관과 사랑니 사이에

약간의 거리가 있는것이 보입니다.

이러면 가능하죠. 약 2분만에 환자분의 사랑니를 발치할 수 있었답니다.

CT scan shows that between the neural tube and the wisdom tooth

I can see that there is a little distance.

It's possible. She was able to extract her wisdom tooth in about two minutes.

 

313a5e3dbe6055f3526ec9ddb43735dc_1706455239_7825.jpg
 

 

환자분께서도 이렇게 금방 뽑힐 지 몰랐다고 깜짝 놀라셨습니다.

저희 태평역치과 더서울치과에서는 어려운 상태의 사랑니 발치 역시

원장님의 많은 경험을 바탕으로 빠르고 안전하게 잘 발치해드리고 있답니다.

사랑니 발치를 고민하신다면, 저희 태평역 더서울치과를 찾아주세요!

 

 

 

https://youtu.be/C2qT_kh088A?si=HD04E0PqA0_KwnI-

 

 

치아를 발치한 후에는 이 영상을 봐주세요.

흡연이나 음주, 빨대를 이용해 음료를 드시면 안되는거 아시죠~?!!

 

The patient was also surprised that he didn't know it would be picked so soon.

At Taepyeong Station Dental Clinic in The Seoul Dental Clinic, wisdom tooth extraction is also difficult

Based on the director's many experiences, we are extracting it quickly and safely.

If you're thinking about extracting your wisdom teeth, please visit The Seoul Dentist at Taepyeong Station!

 

 

Please watch this video after you have your teeth removed.

You know you can't smoke, drink, or drink beverages using straws, right?

 

 

#태평역치과 #태평역더서울치과 #더서울치과 #사랑니 #성남사랑니 #성남사랑니발치

[출처] 태평역치과 더서울치과에서 정상적으로 맹출된 사랑니도 발치를 한 이유!|작성자 더서울치과

 

이전글 Theseoul dental story 530
다음글 Theseoul dental story 528

목록보기