더서울치과이야기

Theseoul dental story 390

작성자 더서울치과 등록일 2023-02-24 22:20:26 조회수 1,442회 댓글수 0건

태평역 치과 <더서울치과> 비발치 돌출입 교정, 인비절라인으로 정확하게!

Taepyeong Station Dental Clinic <The Seoul Dental Clinic> Non-tooth protruding mouth correction, Invisal line accurately!

 

안녕하세요! 태평역치과 <더서울치과>입니다.

저희 더서울치과는 디지털치과로서 다양한 치과진료를

디지털치과 진료 방식으로 제공해 드리고 있습니다.

 

투명교정인 인비절라인은 디지털교정으로서, 다양한 부정교합을

투명교정 인비절라인만으로도 아름다운 치아교정이 가능하기 때문에

저희 태평역치과 더서울치과를 찾아주시는 교정 고객님들의 약 90%가 인비절라인을 선택하신답니다.

ello! This is Taepyeong Station Dental Clinic <The Seoul Dental Clinic>.

The Seoul Dentistry is a digital dentist who provides various dental treatments.

We provide digital dental treatment.

 

Invisaline, a transparent correction line, is a digital correction, and various malocclusion is performed.

You can fix your teeth beautifully with the Invisal line.

About 90% of orthodontics customers who visit Taepyeong Station Dental Clinic The Seoul Dental Clinic choose the Invisible Line.

 

3f9194df6ce1160fd138fa6c82754705_1677244678_6116.png
 

 

이 환자분은 저희 더서울치과의 인비절라인에 대한 후기를 보시고

인비절라인 교정을 하고 싶다는 생각으로 저희 치과를 찾아주셨는데요.

이분같은 경우는 리케츠라인으로 돌출입을 확인해보아도 일직선을 크게

벗어나지 않는 형태를 보이고 있습니다.

하지만 앞니가 뻐드러져 있는 것을 확인할 수 있죠?

This patient saw a review of The Seoul Dental Clinic's Invisaline,

She came to our dentist with the thought of getting her in-vitro correction.

 like this one has a straight line even if you check the protrusion with a Liketz line.

It's a form that doesn't deviate.

But you can see that the front teeth are sticking out, right?

 

 

 3f9194df6ce1160fd138fa6c82754705_1677244686_1626.png
3f9194df6ce1160fd138fa6c82754705_1677244686_6872.png 

 

 

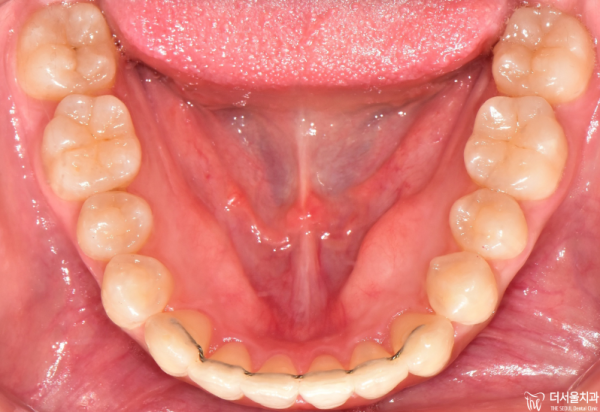
이렇게 교합면을 보면 앞니들이 위 아래 모두 삐뚤빼뚤한

총생을 보이고 있습니다. 

If you look at the occlusal side, the front teeth are all crooked.

He's living his whole life.

 

3f9194df6ce1160fd138fa6c82754705_1677244697_3565.png
 

그리고 이렇게 측면에서 본디면 앞니가 앞으로

뻐드러져 있는 것을 확실히 확인할 수 있습니다.

돌출입의 형태라고 할 수 있는데요.

 

이 환자분께서는 '비발치교정'을 원한다고 하셨습니다.

저희 태평역치과 더서울치과에서는 인비절라인으의 클린체크시스템으로

시뮬레이션을 통해 비발치 교정이 가능한지 확인해 보았습니다.

And if you look from the side, the front teeth go forward.

You can definitely see that it's sticking out.

It's kind of a protruding mouth.

 

This patient said he wanted 'non-extract orthodontic'.

Taepyeong Station Dental Clinic The Seoul Dental Clinic uses Invisaline's clean check system.

I checked whether non-release calibration is possible through simulation.

3f9194df6ce1160fd138fa6c82754705_1677244705_4256.jpg
 

 

저희 태평역치과는 디지털치과로서 구강스캔을 통해

환자분의 치아를 컴퓨터로 본을 뜨게 됩니다.

아주 정확하게 치아상태를 그대로 컴퓨터로 옮겨오게 되기 때문에

정확한 시뮬레이션이 가능해지는 것 입니다.

Taepyeong Station Dental Clinic is a digital dentist who uses oral scans.

Your teeth will be modeled on a computer.

It's very accurate to transfer your teeth to the computer.

It enables accurate simulation.

3f9194df6ce1160fd138fa6c82754705_1677244718_7488.png
 

 

교정전의 상태

3f9194df6ce1160fd138fa6c82754705_1677244724_9991.png
 

교정 후의 상태

 

이 환자분의 경우에는 비발치로 치열의 개선이 가능할 것으로 나왔습니다.

어금니의 위치를 이동시키고 그 공간으로 앞니를 뒤로 이동시키는 계획입니다.

Pre-calibration Status

 

post-calibration condition

 

In the case of this patient, it was found that it was possible to improve his teeth with non-extraction.

The plan is to move the molar position and move the front teeth back into the space.

 

 3f9194df6ce1160fd138fa6c82754705_1677244737_5998.png 

3f9194df6ce1160fd138fa6c82754705_1677244747_2389.png
 

 

태평역치과 더서울치과의 투명교정 인비절라인 교정 중간 경과입니다.

치아에는 치아의 색과 동일한 어태치먼트가 부착되어 있습니다.

바로 이 부분에 인비절라인의 투명교정장치가 걸려서 힘을 주게되는 것 입니다.

This is the middle course of the transparent correction of Invisaline correction at Taepyeong Station Dental Clinic The Seoul Dental Clinic.

The teeth have the same attachment as the color of the teeth.

This is where the transparent correction device of the invisal line is applied to apply force.

3f9194df6ce1160fd138fa6c82754705_1677244753_6322.jpg
 

바로 이 투명교정장치를 환자분께서 스스로 1주일~10일에 한번씩

교체하시면서 교정을 진행하는 방식으로 진행된답니다.

This transparent correction device is used by the patient once a week to 10 days.

It will be done by performing calibration while replacing.

 

 

 3f9194df6ce1160fd138fa6c82754705_1677244760_5008.png
3f9194df6ce1160fd138fa6c82754705_1677244761_1286.png 

 

 

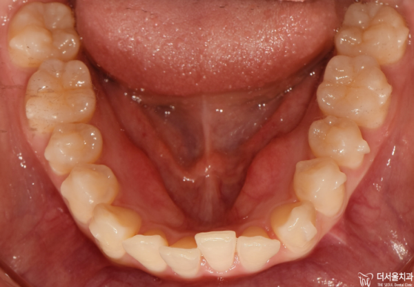
약 13개월이 지난 후의 돌출입교정 개선된 형태입니다.

치료가 이렇게 종료되었는데, 한눈에 봐도 돌출입과 아랫니 총생이

잘 개선된것을 확인하실 수 있습니다.

t is an improved form of protruding standing correction after about 13 months.

The treatment ended like this, but at a glance, the protruding mouth and the whole lower teeth are alive.

You can see the improvement.

 

3f9194df6ce1160fd138fa6c82754705_1677244767_0361.jpg
 

저희 태평역 치과 <더서울치과>에서 비발치로 진행된

돌출입 교정을 확인해보셨는데요! 교정방식이나 교정 기간 등은

환자마다 다를 수 밖에 없습니다.

 

평소 교정에 관심이 있으셨다면, 저희 더서울치과를 찾아주세요!

안전하고 정확한 치아교정을 약속해드리겠습니다!

Taepyeong Station Dental Clinic "The Seoul Dental Clinic" had a non-extracted tooth.

You've checked the protruding mouth correction! The calibration method and the duration of the calibration...

It's bound to be different for each patient.

 

If you are interested in braces, please visit The Seoul Dental Clinic!

We promise you safe and accurate braces!

 

#태평역치과 #더서울치과 #성남투명교정 #성남인비절라인 #인비절라인 #돌출입교정 #성남돌출입교정


 

이전글 Theseoul dental story 391
다음글 Theseoul dental story 389

목록보기