더서울치과이야기

Theseoul dental story 395

작성자 더서울치과 등록일 2023-03-11 14:03:13 조회수 1,459회 댓글수 0건

태평역치과 <더서울치과>에서 송곳니 덧니교정, 투명교정 인비절라인으로 자연스럽게!

Taepyeong Station Dental Clinic <The Seoul Dental Clinic> natural with fangs and transparent braces!

 

안녕하세요! 태평역치과 더서울치과입니다.

송곳니 덧니와 같은 경우에는 다양한 원인이 있을 수 있는데요.

 

특히 유치에서 영구치로 교환되는 시기에 덧니가 될 가능성이 있습니다.

만약 적절한 시기에 유치를 뽑지 않거나 충치 치료를 하지 않는다면

송곳니가 덧니로 날 수 있기 때문에 아이의 치아 검진을 꾸준히 잘 챙겨주셔야 할텐데요.

Hello! I'm Taepyeong Station Dental Clinic, The Seoul Dental Clinic.

There can be a variety of causes, such as fangs and snaggletooth.

 

There is a possibility that it will become a double tooth, especially when it is exchanged from baby teeth to permanent teeth.

If you don't remove the baby at the right time or treat the cavity,

You should take care of your child's teeth regularly because fangs can fly as double teeth.

48181df498d3d72d51935b1fca719f66_1678510933_215.png
 

 

이 증례를 보시면 알 수 있는것 처럼

주변부위보다 월등하게 높은 위치에 송곳니가 나라고 있는것을

확인할 수 있습니다.

As you can see from this case,

The fangs are far higher than the surrounding area.

You can check it out.

 

48181df498d3d72d51935b1fca719f66_1678510951_7007.png
48181df498d3d72d51935b1fca719f66_1678510952_0603.png
 

교합면에서 이 부분을 확인하더라도 치아의 배열이

바르지 않은것을 확인할 수 있습니다.

이러한 경우 치아교정을 통해 치열을 바르게 교정할 수 있습니다.

Even if you check the occlusal surface, the arrangement of the teeth

You can see that it's not applied.

In this case, orthodontic orthodontic orthodontic orthodontic orthodontics can be corrected correctly.

 

48181df498d3d72d51935b1fca719f66_1678510963_9422.jpg
 

 

디지털교정인 인비절라인을 진행하기 위해서는 구강스캔을 진행 하게됩니다.

교정이 필요한 구강의 상태를 컴퓨터 데이터로 옮겨 정확히 분석하여 교정계획을 세우게되기 때문입니다.

In order to proceed with the digital correction Invisaline, oral scanning is conducted.

This is because the condition of the oral cavity that needs correction is transferred to computer data and accurately analyzed to make a correction plan.

 

48181df498d3d72d51935b1fca719f66_1678510970_9596.png
48181df498d3d72d51935b1fca719f66_1678510971_1746.png
 

 

특히 인비절라인의 클린체크 시스템을 이용하면 위와같이 교정 전후의 모습을

현장에서 바로 확인할 수 있습니다. 치아가 어떻게 이동되어 교정이 되는지

발치를 하지 않아도 송곳니 덧니가 어떻게 이동하게 되는지 확인한 후에 실제 교정을

진행하기 때문에 걱정없이 교정을 진행할 수 있는 것 입니다.

In particular, if you use the Invisaline Clean Check System, you can see before and after calibration as above.

You can check it out on the spot. How your teeth move and correct your teeth.

After checking how the fangs move without tooth extraction, the actual correction is done.

Because we proceed, we can proceed with the calibration without worrying.

48181df498d3d72d51935b1fca719f66_1678510977_2262.jpg
 

 

이러한 과정을 통해 환자분께서는 태평역치과 더서울치과에서 

투명교정 인비절라인으로 덧니 교정을 진행하게 되었습니다.

Through this process, the patient will be treated at Taepyeong Station Dental Clinic, The Seoul Dental Clinic.

We will proceed with the incisor line of transparent correction.

 

48181df498d3d72d51935b1fca719f66_1678510983_9636.png
48181df498d3d72d51935b1fca719f66_1678510984_5903.png
 

 

 

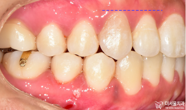
이 환자분의 교정이 마친 후 상태입니다.

송곳니의 높이가 정상으로 돌아온것을 확인할 수 있고

전체적인 치열이 가지런한것을 확인할 수 있습니다.

 

덧니의 경우 교정하지 않고 계속 방치하게 된다면

나중에 나이가 들었을때 그대로 빠져버릴수가 있습니다.

특히 송곳니는 교정을 통해서 꼭 개선하는것이 좋습니다.

뿌리가 긴 치아로 치아의 중심기둥같은 역할을 하기 때문입니다.

This is the condition after this patient's calibration.

You can see that the height of the fangs has returned to normal.

You can see that the overall teeth are even.

 

If you leave your snaggletooth unattended,

Later, when you get older, you can just fall for it.

In particular, it is recommended to improve fangs through correction.

This is because the roots are long teeth that act as the central pillar of the tooth.

48181df498d3d72d51935b1fca719f66_1678510991_1103.jpg
 

 

평소 덧니때문에 치아교정을 고민하고 계셨다면

태평역 더서울치과를 찾아주세요!

안전하고 정확한 치아교정을 안내해드리겠습니다!

If you're worried about getting braces because of your snaggletooth,

Find The Seoul Dental Clinic at Taepyeong Station!

I'll guide you through safe and accurate orthodontics!

#태평역치과 #더서울치과 #성남치과 #덧니교정 #인비절라인 #성남더서울치과 #투명교정 #송곳니교정

 

이전글 Theseoul dental story 396
다음글 Theseoul dental story 394

목록보기