더서울치과이야기

Theseoul dental story 400

작성자 더서울치과 등록일 2023-03-19 00:02:36 조회수 1,376회 댓글수 0건

대학병원 가지 않아도, 사랑니발치 성남치과 <더서울치과>에서 안전하게!

Even if you don't go to a university hospital, be safe at The Seoul Dental Clinic, Seongnam Dental Clinic!

 

안녕하세요! 성남치과 <더서울치과>입니다.

저희 더서울치과에서는 많은 환자분들의 사랑니 발치를

도와드리고 있는데요.

 

사랑니는 사람의 생김새만큼이나

다양한 형태로 맹출될 수 있습니다.

사랑니의 모양이 정상적으로 생기고

정상적인 위치에 맹출된다면 꼭 발치를 안해도 되는

경우가 있을 수 있지만 

누워있는 사랑니는 발치를 해야한답니다.

Hello! This is Seongnam Dental Clinic <The Seoul Dental Clinic>.

At The Seoul Dental Clinic, many patients' wisdom teeth were extracted.

I'm helping you.

 

Wisdom teeth are as good as human appearance.

It can be thrown out in many different forms.

The shape of my wisdom tooth comes out normally.

If you're in a normal position, you don't have to get your teeth extracted.

There may be cases.

Lying wisdom teeth need to be extracted.

 

6494f584fbb6daadf023d7b84fd247d6_1679151735_6906.png
 

 

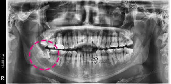
보이시는 것 처럼 이 환자분은 누워있는 사랑니를 발치하고 싶으시다고

하시며 저희 성남치과 더서울치과를 찾아주셨습니다.

As you can see, this patient wants to remove his lying wisdom tooth.

He visited Seongnam Dental Clinic and The Seoul Dental Clinic.

 

6494f584fbb6daadf023d7b84fd247d6_1679151741_061.png
 

 

이렇게 누워있는 사랑니는 발치를 하는것이 매우 어렵고

신경써야 하는 부분이 많기 때문에 엑스레이촬영을 자세히 하여

신경관과 뿌리의 거리를 확인하고 발치계획을 세우게 됩니다.

It's very difficult to get a wisdom tooth out lying down like this.

There are a lot of things I need to pay attention to, so I'll take an X-ray in detail.

You check the distance between the neural tube and the root and make an extraction plan.

 

6494f584fbb6daadf023d7b84fd247d6_1679151746_1137.png
 

 

신경과 치아뿌리를 정확히 확인하기 위해서

CT촬영을 하여 확인합니다. 자세히 확인을 해 보니

이 환자분의 경우 약 2mm 정도의 거리가 있어 발치를 할 수 있었습니다.

 

 

신경과 가까운 위치의 사랑니발치를 잘못하면

안면마비등의 다양한 부작용이 발생할 수 있기 때문에

신중한 발거를 해야 합니다.

 

이렇게 누워있는 사랑니는 바로 앞에 있는 어금니가 있기 때문에

치아를 쪼개서 발치를 하게되었습니다.

To accurately check the nerves and tooth roots,

Take a CT scan to confirm. When I checked carefully,

In the case of this patient, it was able to be extracted because it was about 2mm away.

 

 

If you can't get your wisdom teeth out of place close to your nerves,

It can cause various side effects such as facial paralysis.

You have to make a careful announcement.

 

The wisdom tooth lying down like this has a molar in front of it,

I split my teeth and got my teeth extracted.

6494f584fbb6daadf023d7b84fd247d6_1679151753_0374.jpg
 

 

이 환자분의 경우에는 사랑니가 누워있는것을 인지하시고

빠르게 저희 성남치과 더서울치과를 찾아주셔서 다행히 충치는 발생되지 않았습니다.

 

사랑니 발치의 경우, 미루지 않는것이 가장 중요합니다.

사랑니를 방치하면 충치나 염증이 생길 수 있기 때문에

발치가 끝난 후에 다른 치료를 해야 하는 경우가 많습니다.

 

미루지 마시고, 사랑니발치는 태평역 더서울치과에 찾아주세요!

In this patient's case, please recognize that your wisdom tooth is lying down.

Thankfully, the tooth decay did not occur because you visited Seongnam Dental Clinic The Seoul Dental Clinic quickly.

 

In the case of wisdom tooth extraction, it is most important not to postpone it.

If you leave your wisdom teeth unattended, you can get cavities or inflammation.

In many cases, other treatments are required after the tooth extraction is completed.

 

Don't delay it, and find the wisdom tooth extraction at The Seoul Dental Clinic at Taepyeong Station!

#성남치과 #더서울치과 #사랑니발치 #사랑니 #성남사랑니발치 #성남사랑니 #누워있는사랑니

[출처] 대학병원 가지 않아도, 사랑니발치 성남치과 <더서울치과>에서 안전하게!|작성자 더서울치과

 

이전글 Theseoul dental story 401
다음글 Theseoul dental story 399

목록보기