더서울치과이야기

Theseoul dental story 509

작성자 더서울치과 등록일 2023-12-05 17:09:09 조회수 1,080회 댓글수 0건

외국인 영어진료 가능한 성남치과 <더서울치과> 

"English speaking dentist, Seoul"

 

 

 

안녕하세요~! 성남치과 <더서울치과>입니다.

오늘은 평소와 다르게 아주 특별한 고객님이 찾아오셨던 이야기입니다.

 

임플란트를 받기 위해서 저희 더서울치과를

무려 해외에서 찾아오신 고객님이 계시답니다.

한국에 머무시는동안 치아가 불편해 영어 진료가 가능한

치과를 찾으시면서, 저희 성남치과 더서울치과의

영어진료 후기를 확인하시고 찾아주셨다고 합니다.

Seongnam Dental Clinic <The Seoul Dental Clinic> where foreigners can treat English

"English speaking dentist, Seoul"

 

Hello~! I'm Seongnam Dental Clinic <The Seoul Dental Clinic>.

Today, unlike usual, a very special customer came to visit.

 

To get an implant, we went to The Seoul Dental Clinic

There are as many customers from overseas.

During your stay in Korea, your teeth are uncomfortable, so you can get treatment in English

While you're looking for a dentist, we're going to Seongnam Dental Clinic, The Seoul Dental Clinic

They said they found it after checking the English treatment review.

 

 

4bef138739359bc21322079625f2f294_1701763714_5972.jpg
 

 

임플란트를 잘 하는 경험이 많은 치과를 찾고 싶으셨고

또 외국인이라도 영어로 진료를 잘 해줄 수 있는 치과를 찾으셨는데요.

저희 성남 더서울치과의 의료진들을 모두 영어진료를 아주 잘 도와드릴 수 있기 때문에

부담없이 진료를 받으실 수 있으셨답니다.

 

 You wanted to find a dentist with a lot of experience in implants

Also, you found a dentist who can treat foreigners well in English.

We can help all the medical staff at Seongnam The Seoul Dental Clinic in English

You were able to get medical treatment without any burden.

 

 

Director Park Hyun-joon will introduce what languages are possible!

 

It's a song that can be treated in various languages

I'm at The Seoul Dental Clinic!

 

4bef138739359bc21322079625f2f294_1701763721_6932.png
 

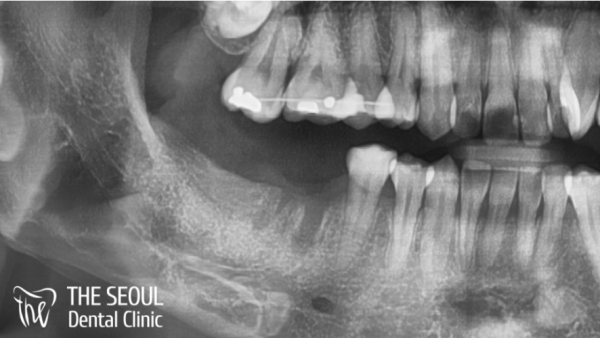
이 외국인 환자분은 오른쪽 어금니 두곳이 빠진채로 있어서

이부분에 대한 임플란트를 진행하고 싶어하셨답니다.

발치의 흔적이 아물지 않은것이 그대로 보였습니다.

치조골 흡수등의 문제는 일어나지 않은 상태라는것을 알 수 있었습니다.

This foreign patient had two right molars missing

He wanted to proceed with the implant in this area.

It was seen that the traces of the extraction had not healed.

It was found that problems such as alveolar bone absorption did not occur.

 

4bef138739359bc21322079625f2f294_1701763727_9226.png
 

 

그대로 임플란트를 심을 수 있는 상태였는데요.

디지털 임플란트인 내비게이션 임플란트를 통해 정확하고 빠르게

임플란트를 심도록 하였습니다.

 

외국인 환자분께서는 생소해 하시면서도 아주 좋아하셨답니다.

치료가 긑나면 한국의 의료 서비스에 대해서 크게 만족하시게될거에요!

The implant could be planted as it was.

Digital Implant Navigation Implants Accurate and Fast

I was asked to plant an implant.

 

The foreign patient was unfamiliar and very happy.

After the treatment, you will be very satisfied with Korea's medical services!

 

4bef138739359bc21322079625f2f294_1701763733_7715.png
 

 

이렇게 네비게이션 임플란트를 통하여 오차없이

임플란트를 심어드리게 되었답니다. 

 

디지털 임플란트는 어디에 어떻게 심으면되는지

눈으로 보고 정확하고 꼼꼼하게 확인하여 심을 수 있기 때문에

더욱 믿을 수 있고 신뢰할 수 있는 임플란트 방식이랍니다.

Through the navigation implant, without any errors

I'm going to plant an implant.

 

Where and how to plant digital implants

you can see it with your own eyes, check it out accurately, and plant it

It is a more reliable and reliable implant method.

 

4bef138739359bc21322079625f2f294_1701763738_4873.png
 

 

컴퓨터로 세운 계획대로, 오차없이 그대로 잘 심어져 있습니다.

최종 보철은 지르코니아 크라운으로 실제 치아의 색과 잘 어울리도록

맞춰 제작하였는데, 비어있던 잇몸에 임플란트라 예쁘게 잘 심어져있습니다.

As planned by the computer, it is well planted without error.

The final prosthesis is the zirconia crown, which matches the color of the actual teeth

It was customized, and it is well planted because it is an implant on the empty gums.

 

4bef138739359bc21322079625f2f294_1701763742_6238.jpg
 

영어로 진행된 외국어 치과진료에 크게 만족하신 고객님

앞으로도 치아에 문제가 있으면 꼭 찾아오시겠다고 하셨답니다.

외국인분에게 만족스러운 치과진료를 제공할 수 있었던 좋은 사례였어요!

Customers who are very satisfied with the foreign language dental treatment conducted in English

He said that if there is a problem with his teeth in the future, he will definitely come.

It was a good example of providing satisfactory dental care to foreigners!

 

#태평역치과 #성남치과 #Englishdentist #Seouldentist #dentist #더서울치과 #임플란트 

[출처] 외국인 영어진료 가능한 성남치과 <더서울치과> "English speaking dentist, Seoul"|작성자 더서울치과

 

이전글 Theseoul dental story 510
다음글 Theseoul dental story 508

목록보기