파절된 돌출입! 성남치과 <더서울치과>에서 임플란트와 인비절라인 치아교정 동시 진행한 이유!
안녕하세요! 성남치과 더서울치과입니다.
저희 더서울치과에서는 디지털치과로서 다양한 형태의
치아교정, 임플란트를 디지털진료방식으로 오차없이
정확하게 진료를 해 드리고 있습니다.
오늘은 무려 치아교정과 임플란트를 동시에 진행하신 사례를 소개해드리겠습니다.
Fragmented protruding mouth! The reason why Seongnam Dental Clinic performed implant and insegmental line orthodontics at the same time!
Hello! I'm The Seoul Dental Clinic at Seongnam Dental Clinic.
At The Seoul Dental Clinic, as a digital dentist, there are various types of
Orthodontics and implants are digitally treated without errors
We provide accurate treatment.
Today, I will introduce you to a case of orthodontics and implants at the same time.
이 환자분은 평소 앞니가 앞으로 튀어나와있는 돌출입, 토끼같은
앞니를 가지고 계셨던 환자분이셨는데요.
This patient has a protruding mouth with front teeth sticking out, like a rabbit
He was a patient with front teeth.
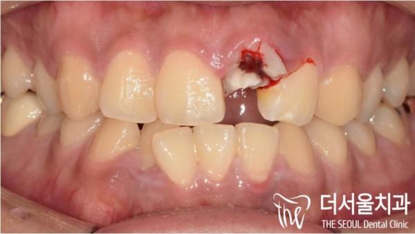
그런데 넘어지시면서 사고로 인해 앞니가 파절되었습니다.
실제로 돌출입의 경우에 충격, 사고에 의해 앞니 외상이 발생되는
경우가 생각보다 많습니다.
However, when I fell, my front teeth were broken due to an accident.
In fact, in the case of a protruding entrance, front tooth trauma is caused by shock and accident
There are more cases than I thought.
이렇게 영구치인 앞니가 부러졌기 때문에 이 부분을 발치하고
임플란트를 심어서 치료를 마무리하면 된다고 생각하실 수도 있지만
이미 교정이 필요한 치아였기 때문에 임플란트를 해도 앞으로 돌출된 상태가
유지되기 때문에, 치아교정과 동시에 임플란트를 심기로 하였습니다.
Since my permanent teeth are broken, I'll remove this part
You might think that you can complete the treatment by implanting an implant
It was already a tooth that needed braces, so even if I had an implant, it protruded forward
Because it is maintained, we decided to plant the implant at the same time as orthodontic.

디지털교정방식인 성남치과 더서울치과의 인비절라인 투명교정은
이렇게 컴퓨터를 이용하여 환자분의 치아 교정 계획을 수립하고 실제 교정 전후를
미리 확인할 수 있다는 큰 장점이 있습니다.
바로 인비절라인의 클린체크시스템입니다.
Transparent calibration of Invisalign of Seongnam Dental Clinic The Seoul Dental Clinic, a digital calibration method
So we're going to use the computer to make a plan for your orthodontics, and we're going to make sure that you don't actually do it before and after
It has a great advantage of being able to check in advance.
It's a clean check system of Invisalign.
삐뚤빼뚤한 치열을 바로 잡아 앞니를 식립할 공간을 확보한 후에
픽스처를 심어 임플란트를 심는 순서로 하게되었습니다.
After correcting the crooked teeth and making room for the front teeth
We planted the fixture and planted the implant in the order of implantation.
초반 임플란트를 통해 공간을 확보한 후에 임플란트 픽스쳐(인공치근)를
심어놓은 모습을 위의 이미지에서 확인하실 수 있습니다.
After freeing up space through the initial implant, the implant fixture (artificial root) was used
You can see the planted image in the image above.
그리고 치아교정과 임플란트를 동시에 진행하게되었습니다.
And orthodontics and implants were carried out at the same time.
임플란트를 하면서 치아교정을 사는 것을 조건으로
역시 인비절라인의 클린체크시스템으로 치아교정계획을 수립하여
교정장치를 제작하게되었습니다.
on the condition that I buy orthodontics while getting an implant
As expected, we will establish a orthodontic plan with the clean check system of the Invisalign
We are going to manufacture braces.
모든 치아교정과 임플란트가 완료된 모습입니다.
환자분의 앞니고 주면 치아와 전혀 차이가없는 자연스러운
컬러와 모양으로 제작되었고, 앞니가 앞으로 뻐드러진 부분도
전반적으로 개선된것을 확인할 수 있답니다.
All orthodontics and implants are completed.
If you give it to the patient's front teeth, it's natural, not at all different from the teeth
It's made in color and shape, and the front teeth are sticking out
You can see the overall improvement.
돌출된 앞니는 빠른 교정이 좋습니다.
혹시 지금 앞니 치아교정을 고민하고 계시다면
성남치과 더서울치과를 찾아주세요!
안전하고 정확하게 교정을 도와드리겠습니다!
Quick correction is recommended for protruding front teeth.
If you're thinking about getting braces for your front teeth
Seongnam Dental Clinic, please visit The Seoul Dental Clinic!
We will help you with corrections safely and accurately!
#성남치과 #더서울치과 #성남더서울치과 #성남디지털교정 #성남투명교정 #성남내비게이션임플란트 #성남임플란트 #임플란트교정동시진행
[출처] 파절된 돌출입! 성남치과 <더서울치과>에서 임플란트와 인비절라인 치아교정 동시 진행한 이유!|작성자 더서울치과