태평역치과 <더서울치과> 삐뚤빼뚤한 앞니 총생 인비절라인으로 교정한 증례!
안녕하세요! 태평역치과 <더서울치과>입니다.
저희 더서울치과는 디지털치과로, 다양한 부정교합을
디지털교정인 인비절라인으로 교정을 해 드리고 있습니다.
인비절라인은 디지털 교정방식으로 진행되기 때문에
컴퓨터로 교정을 하기전에 미리 교정과정과 전 후 형태를
확인하고 교정을 진행할 수 있습니다.
그리고 이러한 교정 과정은 모두 투명교정장치료 진행되기 때문에
사회생활을 하시는 분들에게 교정장치가 잘 보이지 않는다는 장점이 있답니다.
Taepyeong Station Dental Clinic <The Seoul Dental Clinic> A case of correction with a total incisor line!
Hello! I'm Taepyeong Station Dentist <The Seoul Dentist>.
Our The Seoul Dental Clinic is a digital dental clinic, and we have a variety of mismatches
We are correcting it with the digital correction Invisaline.
Invisalign is digitally corrected
Before you use your computer to proofread the proofread process and the shape before and after
You can check and proceed with the calibration.
And all of these braces are treated with transparent braces
The advantage is that the braces are not easily visible to people in social life.
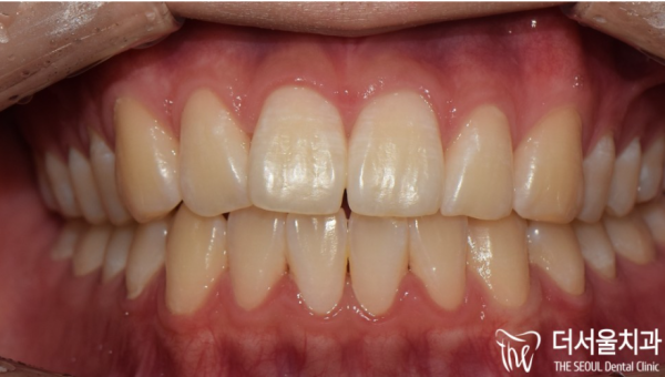
이 환자분은 이렇게 보면 크게 문제가 없어보입니다.
괜찮은 상태로 확인할 수 있지만, 사실 환자분 본인께서는
오래전부터 치아교정을 원하셨다고 하셨습니다.
그리고 태평역치과 더서울치과에서 인비절라인으로 교정을 하면
교정장치가 눈에 띄지 않는다는 후기를 보시고, 인비절라인 교정을 원하셨답니다.
This patient doesn't seem to have a big problem from this perspective.
I can confirm that you're in good condition, but actually, the patient himself
You said you've been wanting orthodontics for a long time.
And if you get your teeth straightened at the Taepyeong Station Dental Clinic in Seoul
After seeing the review that the correction device was not noticeable, he wanted an invisible correction.
남들은 잘 모른다 하더라도 본인이 불편함을 느낀다면
그것이 큰 스트레스가 될 수 있기 때문에, 본인의 불편함이 가장 중요하다고 볼 수 있습니다.
환자분께서 인비절라인 교정을 원하셨기 때문에 인비절라인으로 정밀 진단을 하게되었습니다.
Even if others don't know well, if you feel uncomfortable
Because it can be a great stress, your discomfort is the most important thing.
Since the patient wanted to correct the artificial line, we made a precise diagnosis with the artificial line.
디지털교정인 인비절라인은 이렇게 구강스캔부터 진행을 합니다.
환자의 구강상태를 3D 구강스캔하여 인비절라인 클린체크시스템으로
교정 전후와 과정을 확인합니다.
Invisalign, a digital correction, starts with oral scanning.
3D oral scan of the patient's oral condition and use the Invisalign Clean Check System
Check before and after calibration.
태평역치과 더서울치과 인비절라인 클린체크 과정을 확인합니다.
치아가 어떻게 변하는지 정확히 확인하게됩니다.
대력 1년정도의 소요기간이 예상되는데요!
Check the clean check process of Taepyeong Station Dental Clinic The Seoul Dental Clinic.
You will see exactly how your teeth change.
It's expected to take about a year!
인비절라인을 진행하고 있는 중간 모습입니다.
치아에는 치아의 색과 유사한 고정장치(어태치먼트)가 붙어있는 것을 확인할 수 있습니다.
이에 뾰족뾰족 붙어있는 부분에 교정장치가 걸려서 교정력을 주게된답니다.
This is the middle of the Invisalign.
You can see that the tooth has a fixture (attachment) similar to the color of the tooth.
The correction device is caught in the area attached to the point and gives correction power.

약 1년정도의 교정 기간이 종료된 후의 상태입니다.
교정이 끝난 후에는 치아 설측에 유지장치를 부착하여 치아가
이후에 움직이지 않도록 한답니다.
This is the condition after the end of the correction period of about a year.
After braces are finished, a retainer is attached to the side of the tooth
Don't move afterwards.
치아교정에 대한 필요성은, 본인이 가장 크게 느낍니다.
남들이 볼때 괜찮다 하더라도 본인이 불편하고, 개선하고 싶다면
치과에서 상담을 받아보시는게 좋습니다.
저희 태평역치과 더서울치과에서 치아교정을 만나보세요!
I feel the greatest need for orthodontics.
Even if others think it's okay, if you're uncomfortable and want to improve
It's a good idea to get a consultation at the dentist.
Meet our orthodontics at Taepyeong Station Dental Clinic in The Seoul Dental Clinic!