태평역치과 <더서울치과>에서 임플란트 틀니(오버덴쳐)로 불편함 극복!
안녕하세요! 태평역치과 <더서울치과>입니다.
만약 치아가 하나도 없거나, 거의 남아있지 않다면
선택할 수 있는 것은 '임플란트' 또는 '틀니'입니다.
하지만 대부분의 치아를 모두 임플란트로 심게되면
비용도 비용이고 임플란트 수술 자체가 매우 쉽지 않습니다.
그리고 일반적인 틀니는 사실 현실적으로 불편함을 많이 가지고 있습니다.
때문에 임플란트와 틀니의 장점을 합친 '임플란트 틀니'라는 선택지가 있습니다.
Overcoming discomfort with implant dentures (overdentures) at Taepyeong Station Dental Clinic <The Seoul Dental Clinic>!
Hello! This is Taepyeong Station Dental Clinic <The Seoul Dental Clinic>.
If you don't have any teeth, or if you have little left
The choice is 'implant' or 'dental'.
But if you plant most of your teeth with implants
It's also a cost and implant surgery itself is not very easy.
And common dentures actually have a lot of discomfort in reality.
Therefore, there is an option called 'implant dentures' that combine the advantages of implants and dentures.

임플란트 틀니는 '오버덴처'라고 합니다.
오버덴처는 치아가 거의 없는 환자분들께 '최소한의 임플란트'만을
식립한 후에 틀니를 연결하는 방식으로 지지력을 높이는 장치입니다.
이러한 오버덴처는 다양한 장점이 있습니다.
수술 비용이 덜 부담스럽고
기존의 틀니보다 지지력과 저작력이 좋습니다.
이러한 장점으로 저희 태평역치과 더서울치과에서는
틀니가 필요하신 환자분들 중, 오버덴쳐가 가능하신 분들께는
오버덴처를 선택하실 수 있도록 안내를 해 드리고 있습니다.
Implant dentures are called 'overdentures'.
Oberdentzer has given patients with few teeth a "minimal implant."
It is a device that increases support by connecting dentures after placement.
These overdentures have many advantages.
It's less expensive to operate
It has better support and writing power than conventional dentures.
Because of these advantages, our Taepyeong Station Dental Clinic in Seoul
For patients who need dentures, those who can over-denture
We are informing you to choose the overdenture.


이 환자분께서는 오랜기간 틀니를 사용해 오셨지만
시간이 지나자 틀니가 너무 불편해지셔서 이를 개선하고 싶다고
저희 태평역 더서울치과를 찾아오셨습니다.
보이시는 것 처럼 치아가 거의 없고 잔존치근 및 잇몸폭도
많이 줄어들어 있습니다.
This patient has been using dentures for a long time
As time goes by, my dentures become so uncomfortable that I want to improve them
You're here at The Seoul Dental Clinic at Taepyeong Station.
As you can see, there are very few teeth and residual teeth and gum width
It's shrinking a lot.
엑스레이 사진을 통해 환자분의 치조골을 확인해보았습니다.
뼈가 거의 없는 상태였기 때문에 임플란트를 심는것도 어려운 상태입니다.
I checked your alveolar bone through X-ray.
It's also difficult to plant an implant because there was almost no bone.
임플란트를 심어야 하기 때문에 디지털치과인 더서울치과에서는
네비게이션 임플란트 방식으로 임플란트 식립 계획을 수립하게됩니다.
이렇게 구강스캔을 통해 환자분의 치아 상태를 정확히 컴퓨터로 확인하고
엑스레이, CT 데이터를 통해 조직 상태를 정확피 진단합니다.
I need to plant implants, so at The Seoul Dental Clinic, a digital dental clinic
The implant placement plan will be established using the navigation implant method.
Through this oral scan, you can check the patient's teeth condition with a computer
X-ray, CT data to accurately diagnose tissue conditions.
이렇게 아주 구체적이고 정확하게 임플란트 식립계획을 컴퓨터로 확인합니다.
이 환자분은 상악에 최소개수의 임플란트를 식립한 후에 보철을 결합하고
하악은 전치부에 식립한 후 구치부 가철성 보철을 하기로 하였습니다.
This is a very detailed and accurate computer-check of the implant placement plan.
This patient has placed at least one implant in the maxilla, then combined the prosthesis
After placing the mandible in the anterior teeth, it was decided to have an iron prosthesis in the posterior teeth.
물론 환자분의 뼈가 거의 없었기 때문에 뼈이식을 하여 픽스처를 심을 수 있도록
보강한 후, 실제 픽스처 식립을 하게됩니다.
이 과정에서 몇개월간의 골융합 기간이 필요하지만 이를 통해
단단하고 튼튼한 결합의 밑받침이 되는 것입니다.
Of course, there were almost no bones in the patient, so we could transplant the bone and plant the fixture
After reinforcement, actual fixture placement is performed.
This process requires several months of bone fusion, but through this
It's the foundation of a solid, sturdy bond.
보철을 부착하기 전의 상악의 모습입니다.
바로 저 부분에 오버덴쳐가 강력하게 결합게되는 것 입니다.
이를 통해 기존의 틀니보다 단단한 저작력과 지지력을 가질 수 있습니다.
This is the image of the maxilla before attaching the prosthesis.
That's where the overdenture is strongly coupled.
This allows for stronger copyright and support than conventional dentures.
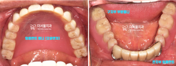
실제 오버덴쳐를 부착한 형태입니다.
기존의 틀니보다 아주 보기 좋고 불편하지 않은
임플란트 틀니입니다.
환자분께서도 아주 만족하셨던 오버덴쳐 치료였습니다.
The actual overdenture is attached.
It looks better and is less uncomfortable than conventional dentures
It's an implant denture.
It was an overdenture treatment that you were very satisfied with.