더서울치과이야기

Theseoul dental story 487

작성자 더서울치과 등록일 2023-10-20 13:04:53 조회수 1,387회 댓글수 0건

성남치과 <더서울치과> 난이도 높은 어려운 사랑니발치, 주의사항 알아봐요

Seongnam Dental Clinic <The Seoul Dental Clinic> Find out the difficult wisdom tooth extraction and precautions

 

안녕하세요. 성남 더서울치과입니다.

사랑니는 누구나 한번 이상 발치하신 경험이 있으실 듯 합니다.

하지만 사랑니라 하더라도 난이도가 제각각이죠.

 

고난이도의 어려운 사랑니발치는 과연 어떤 것일까요?

Hello, I'm Seongnam The Seoul Dentist.

Everyone must have had wisdom teeth extracted more than once.

But even wisdom teeth have different levels of difficulty.

 

What is a difficult wisdom tooth extraction?

 

826fd3851ccac24696fbdfce7325926d_1697774654_7602.jpg
 

 

어려운 사랑니발치는, 통상적으로

매복사랑니, 옆으로 비스듬하게 누워있는 사랑니와 같이

비정상적인 형태로 자라난 사랑니를 의미한답니다.

 

하지만 어려운 사랑니라고 방치를 해두면 더 큰 문제가 생길 수있기 때문에

정기적인 성남치과 더서울치과 방문으로 미리미리 발치를 하는것이 좋습니다.

Hard wisdom tooth extraction is usually

Ambush teeth, like wisdom teeth lying on the side

It is a wisdom tooth that has grown into an abnormal shape.

 

But if you leave it because it's a difficult wisdom tooth, it could cause a bigger problem

It is recommended that you extract your teeth in advance by visiting The Seoul Dental Clinic on a regular basis.

 

826fd3851ccac24696fbdfce7325926d_1697774659_8259.jpg
 

 

이 환자분께서는 어려운 사랑니가 있다는 말씀을 하시며

저희 성남 더서울치과를 방문해주셨습니다.

동네의 가까운 치과에 가셨는데 큰곳을 가는게 좋겠다 하셔서 알아보시다가

어려운 난이도의 사랑니 발치를 한 더서울치과의 후기를 확인하시고 찾아오셨다고 해요.

This patient says that she has a hard wisdom tooth

You visited The Seoul Dental Clinic in Seongnam.

You went to a dentist nearby in the neighborhood, so you'd better go to a big place So they recognized me

I heard you came here after checking the review of The Seoul Dentist, who had a hard-to-difficult wisdom tooth extraction.

 

826fd3851ccac24696fbdfce7325926d_1697774664_5877.png
 

 

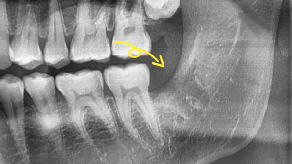
실제로 왼쪽 어금니쪽이 욱신욱신 하셨다고도 하셨는데요.

파노라마 사진으로 확인해보니 왼쪽 아래쪽 어금니가 매복형태로

발치가 어려운 형태로 맹출되어있었습니다.

You said that your left molar was throbbing.

I checked the panorama picture and found that the lower left molar was in the shape of an ambush

It was ferocious in a form that was difficult to extract.

 

826fd3851ccac24696fbdfce7325926d_1697774670_0313.png
 

 

이부분의 통증이 아주 심해서 잠도 못자겠다고 하셨는데요.

빠른 발치가 필요하신 상황이었습니다. 

해당 부분을 확대하여 보면, 뿌리가 뼈를 움켜지고있는 형태여서 발치가 쉽지 않아보였습니다.

저희 성남치과 더서울치과에서는 이러한 고난이도의 사랑니발치를 

꾸준히 해 오고 있기 때문에 이날 지체하지않고 바로 발치하기로 하였습니다.

The pain in this area is so severe that you can't even sleep.

You needed a quick extraction.

If you zoom in on that part, it didn't look easy to extract because the roots were gripping the bones.

Seongnam Dental Clinic, The Seoul Dental Clinic, provides these high-level wisdom teeth

Since we have been doing it steadily, we decided to remove it right away without delay on this day.

 

826fd3851ccac24696fbdfce7325926d_1697774675_0518.jpg
 

 

환자분께 잘 설명을 드리고, 발치를 하였는데

걱정과 다르게 10분도 되지 않아서 발치가 잘 되었답니다.

I explained it well to the patient and extracted it

Contrary to my worries, the extraction came out well in less than 10 minutes.

826fd3851ccac24696fbdfce7325926d_1697774680_6163.png
 

 

발치된 부분을 다시 확인해보았는데

아주 깨끗하고 문제없이 발치가 된것을 확인할 수 있었습니다.

I checked the extraction part again

It was very clean and I could see that it was extracted without any problems.

 

826fd3851ccac24696fbdfce7325926d_1697774684_9919.jpg
 

이 환자분께서는 발치후 약 1주일 후에 다시 소독을 하러 오셨는데요.

발치후에도 통증이 가끔 느껴져서 걱정이라고 하셨습니다.

 

발치후에 통증이 계속 느껴지는 이유는 발치과정의 충격으로 인하여

주변 조직이 놀라서 생기는 통증으로 흔한 증상입니다. 조금 더 수일이 지나면

자연스럽게 사라질 수 있지만 통증이 조금 더 이어지거나 관리미흡으로 인해

병이 생길 수 있기 때문에 치과에 찾아와서 다시 검진을 받아보시는 것도 아주 중요합니다.

This patient came back to sanitize about a week after the extraction.

He said he was worried because he sometimes feels pain even after extraction.

 

The reason why the pain continues to feel after extraction is because of the impact of the extraction process

It is a common symptom of pain caused by surprise of surrounding tissue. After a few more days

It can disappear naturally, but due to pain or lack of care

It's very important to come to the dentist and get a checkup again because you can get sick.

 

826fd3851ccac24696fbdfce7325926d_1697774689_7462.jpg
 

 

저희 성남치과 더서울치과에서는 환자분들께서

사랑니를 안전하게 발치하실 수 있도록 정확한 치과진료를 도와드리고 있습니다.

성인이 될 무렵부터 나기 시작하는 사랑니, 사랑니가 날 무렵에는

치과에 찾아오셔서 정기적인 검진을 통해 발치 시기를 결정하는것이 좋습니다.

 

사랑니 때문에 고민을 하신다면, 저희 성남치과 더서울치과를 찾아주세요!

At Seongnam Dental Clinic and The Seoul Dental Clinic, patients

We are helping you with accurate dental treatment so that you can remove your wisdom teeth safely.

When I grow up, I get wisdom teeth

It is recommended that you visit the dentist and decide when to extract your teeth through regular checkups.

 

If you're worried about wisdom teeth, please visit Seongnam Dental Clinic and The Seoul Dental Clinic!

 

#성남치과 #더서울치과 #성남더서울치과 #사랑니발치 #성남사랑니발치

[출처] 성남치과 <더서울치과> 난이도 높은 어려운 사랑니발치, 주의사항 알아봐요|작성자 더서울치과

 

이전글 Theseoul dental story 488
다음글 Theseoul dental story 486

목록보기