모란역치과 <더서울치과>에서 이갈이치료로 삶의 질 회복!
안녕하세요! 모란역치과 더서울치과입니다.
혹시 여러분, 이갈이때문에 고통받고 계시진 않으신가요?
이갈이는 초기에는 본인은 잘 모를 수 있습니다.
같이 자는 가족이 있다면 이갈이의 소음으로인해 수면 방해를 받을수 있지만
정작 본인은 그 안좋은 영향을 잘 못느낄 수 있다는 것이 문제죠.
하지만 이갈이가 점점 심해지고, 이를 방치하게된다면 어떻게 될까요?
Restoring quality of life through tooth grinding treatment at Moran Station Dental Clinic <The Seoul Dental Clinic>!
Hello! I'm Moran Station Dental Clinic and The Seoul Dental Clinic.
Are you suffering from the grinding of your teeth?
You may not know about this sharpening in the beginning.
If you have a family who sleeps with you, you may be disturbed by the noise of the tooth grinding
The problem is that you may not feel the negative effect well.
But what happens if the grinding gets worse and you leave it unattended?
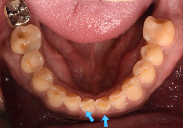
이 환자분은 이가 너무 시린증상이 있어서 저희 모란역 더서울치과를 찾아오셨습니다.
시린니의 원인은 다양할 수 있지만, 이 환자분은 치아를 보면 이갈이가 원인인것을 쉽게알 수 있습니다.
치아의 단면이 일정하게 갈려져있는것이 관찰되기 때문입니다.
이 환자분은 치아의 가장 단단한 겉면인 법랑질이 거의 마모되어있습니다.
이정도로 상아질이 드러나면, 이가 상당히 시리게된답니다.
This patient has a sore tooth, so he came to The Seoul Dental Clinic at Moran Station.
The causes of Shirinni can vary, but if you look at the teeth, you can easily see that the cause is the grinding of the teeth.
This is because it is observed that the cross section of the tooth is evenly divided.
This patient has almost worn enamel, the hardest surface of her teeth.
When dentine is exposed to this extent, your teeth become quite cold.
이갈이 자가 진단
□ 숙면 후 턱이나 턱 관절이 아프다. □ 앞니, 어금니의 씹는 면이 마모되어 있다. □ 턱을 크게 벌릴때 소리가 난다. □ 이를 갈다가 깬 적이 있다. □ 긴장하면 이를 꽉 무는 습관이 있다. □ 음식을 한쪽으로만 씹는다. □ 목 통증과 어깨 결림이 잇다. □ 이가 시리다. □ 점점 사각턱이 되는 것 같다. |
혹시 이갈이를 스스로 하는건 아닌지 고민된다면, 자가진단을 해 보세요!
Teething Self-Diagnosis
□ My jaw or jaw joint hurts after a good night's sleep.
□ The chewing side of the front teeth and molars are worn out.
□ There is a sound when I open my jaw wide.
□ I broke my tooth while grinding it.
□ I have a habit of biting my teeth when I'm nervous.
□ Chew the food to one side.
□ There is neck pain and stiff shoulders.
□ have a cold tooth.
□ It seems to be becoming a square jaw.
If you're wondering if you're grinding your teeth by yourself, do a self-diagnosis!

이갈이가 있다는 것을 확인하신 분들은
치과에서 치아를 보호하는 안전장치를 제작할 수 있는데요.
이렇게 환자분의 치아에 딱 맞는 형태로 제작하여 밤에 자기전에
물고 자면 되는 형태로 제작이 된답니다.
치아 자체를 감싸주기 때문에 치아가 잘 보호되죠.
If you've confirmed that you have teeth grinding
You can make a safety device that protects your teeth at the dentist.
It's made into a shape that fits your teeth, and before you go to bed
It's made in a form where you can bite and sleep.
Because it covers the teeth itself, it protects the teeth well.
법랑질이 저렇게 심하게 마모될떄까지 참지 마시고
빠르게 치과에 내원하시는게 가장 중요하다는 것, 잘 알고계시죠?
조금이라도 치과에 빨리오면 더 치아를 지킬 수 있답니다.
Don't hold it in until the enamel wears so badly
You know that it's most important to visit the dentist quickly, right?
If you come to the dentist a little earlier, you can protect your teeth more.
두번째 방법은 바로 보톡스를 이용하는 방법입니다.
바로 이렇게 양쪽 턱 부위에 보톡스 주사를 맞게되면
양쪽 턱 근육에 힘이 실리는것을 막아주게됩니다.
이 원리를 이용하여 이갈이의 힘을 많이 약하게 하여 치아를 보호하는 것 입니다.
물론 효과는 3~4개월에 한번씩이기 때문에 정기적인 내원이 필요합니다.
The second way is to use Botox.
If you get Botox injections on both sides of your chin