더서울치과이야기

Theseoul dental story 473

작성자 더서울치과 등록일 2023-09-17 18:21:29 조회수 1,331회 댓글수 0건

성남치과 <더서울치과> 30대 성인 인비절라인 투명교정으로 비발치 교정 해요!

 

 

안녕하세요! 성남치과 더서울치과입니다.

저희 더서울치과는 디지털치과로서 다양한 치과진료를 컴퓨터를 이용한

디지털치과진료를 제공해드리고 있습니다.

eongnam Dental Clinic <The Seoul Dental Clinic> Adults in their 30s are getting their teeth straightened with transparent correction!

 

 

Hello! Seongnam Dental Clinic The Seoul Dental Clinic.

The Seoul Dental Clinic is a digital dental clinic that uses computers for various dental treatments

We provide digital dental care.

 

1cc1e888e1b3fd65211d8fbad2ad2e53_1694942442_4936.jpg
 

 

저희 더서울치과는 인비절라인 공식 인증치과입니다.

인비절라인은 디지털교정 방식으로, 환자분의 치아교정을 위한

진단과 교정계획 수립을 모두 디지털방식으로 진행하여

안전하고 정확한 치아교정을 제공해드리고 있습니다.

 

 

 

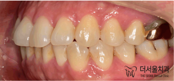
이 환자분은 30대 여성 환자분으로 앞으로 뻗친 앞니때문에

저희 성남치과 더서울치과를 찾아주셨습니다.

The Seoul Dental Clinic is the official certified dental clinic of Invisal Line.

The invisal line is a digital correction method, and it's for your orthodontic treatment

Both diagnosis and calibration plan are conducted digitally

We provide safe and accurate orthodontic treatment.

 

 

 

This patient is a female patient in her 30s who has a front tooth that sticks out

Sungnam Dental Clinic. They came to The Seoul Dental Clinic.

 

1cc1e888e1b3fd65211d8fbad2ad2e53_1694942449_7491.png
 

30대 성인이 되어서 치아교정을 해도되는지 고민을 하셨다고 하셨는데요.

저희 더서울치과는 치료에 늦은 나이는 없다고 생각한답니다.

 

특히, 이렇게 사회생활을 하시는 성인분들께는 투명교정 인비절라인으로 하시는것이

남들에게 보여지는 부분에서도 도움이 될 수 있습니다.

 

환자분의 앞니를 보시면 앞쪽으로 각도가 기울어져 있는것을 확인할 수 있습니다.

You said that you thought about whether you could get braces when you become an adult in your 30s.

I don't think we're late for treatment at The Seoul Dental Clinic.

 

Especially for adults who live in society, it's better to use the invisible correction inbijul line

It can also be helpful in what others see.

 

If you look at your front teeth, you can see that the angle is tilted forward.

1cc1e888e1b3fd65211d8fbad2ad2e53_1694942455_6918.png
 

 

그리고 이렇게 보면, 충치와 어금니가 하나 빠져있는것을 확인할 수 있습니다.

해당 어금니도 충치로 인해 부러지셨다고 하시는데 인접한 어금니가 돌아가 있습니다.

 

 

이 환자분의 경우 치아교정을 한 후에

임플란트를 통해 해당 부분을 채워주고

충치치료를 병행하기로 하였습니다.

And if you look at it like this, you can see that there's a cavity and a molar missing.

It is said that the molar was also broken due to a cavity, but the adjacent molar is turned.

 

 

For this patient, after getting braces

Fill in the area with implants

I decided to do cavity treatment at the same time.

 

1cc1e888e1b3fd65211d8fbad2ad2e53_1694942460_5857.jpg
 

 

성남치과 더서울치과의 인비절라인은 이렇게 구강스캔부터 시작됩니다.

환자분의 치아상태를 정확히 컴퓨터 데이터로 본을 뜬 후에 인비절라인의

'클린체크시스템'으로 교정계획을 확인합니다.

Seongnam Dental The Seoul Dental Clinic's Invisal Line starts with an oral scan.

We're going to model your dental conditions accurately with computer data, and then we're going to have an invisual line

Check the calibration plan with the 'Clean Check System'.

 

1cc1e888e1b3fd65211d8fbad2ad2e53_1694942465_4575.png
 

 

 

인비절라인을 이용하여 교정계획이 세워졌습니다.

현장에서 바로 이렇게 치아의 교정 전후를 확인할 수 있는것은 

인비절라인의 아주 큰 장점입니다.

The calibration plan was made using the invisal line.

The fact that you can check your teeth before and after getting braces on site

It's a huge advantage of the Invisal line.

 

1cc1e888e1b3fd65211d8fbad2ad2e53_1694942470_615.png
 

 

 

환자분의 치아에 인비절라인 투명교정장치가 딱 걸려서

교정력을 줄 수 있도록 하는 '고정장치' (어태치면트)가 부착된 모습입니다.

바로 이 부분에 투명교정장치가 걸리게되는 것 입니다.

The patient's teeth are stuck with an invisible line orthodontic device

A 'fixture' (attachment) is attached to provide corrective force.

That's where the transparent correction device gets stuck.

 

1cc1e888e1b3fd65211d8fbad2ad2e53_1694942475_9991.png
 

 

 

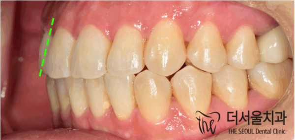
전치부의 각도가 조절된 교정 후의 모습입니다.

그리고 틀어진 구치부 배열까지 바로잡아서 교정은 완료를 하였답니다.

This is after calibration with an adjusted angle of the transposition.

And the correction was completed by correcting the distorted arrangement of the detention area.

 

 

1cc1e888e1b3fd65211d8fbad2ad2e53_1694942480_7.jpg
 

 

 

인비절라인은 환자분 스스로 하는 노력도 아주 중요하기 때문에

환자분의 협조를 통해 예상보다 빠르게 교정이 완료되었습니다.

치아의 교정이 끝난후에는 임플란트까지 마무리를 했습니다.

It's important to make efforts on your own

With your cooperation, the calibration was completed faster than expected.

After the teeth correction, I finished the implant.

 

 

1cc1e888e1b3fd65211d8fbad2ad2e53_1694942486_5194.png
 

 

환자분의 임플란트가 완료된 모습입니다.

평소에 치아에 대한 컴플렉스로 웃을대도 입을 가리고

웃으셨다고 하셨는데요! 이제는 자연스럽고 편하게 웃을 수 있겠죠?!

Your implant looks complete.

I usually cover my mouth even if I laugh because of my teeth complex

You said you laughed! Now I can smile naturally and comfortably, right?

 

[출처] 성남치과 <더서울치과> 30대 성인 인비절라인 투명교정으로 비발치 교정 해요!|작성자 더서울치과

 

이전글 Theseoul dental story 474
다음글 Theseoul dental story 471

목록보기