더서울치과이야기

Theseoul dental story 411

작성자 더서울치과 등록일 2023-04-15 15:56:52 조회수 1,141회 댓글수 0건

수진동치과 <더서울치과>에서 누운 사랑니발치, 빠르고 안전하게 뽑아요!

The wisdom tooth extraction lying down at Sujin-dong Dental Clinic <The Seoul Dental Clinic> is quick and safe!

 

안녕하세요! 수진동치과 <더서울치과>입니다.

저희 치과를 찾는 환자분들 중 사랑니때문에 치과를 찾아오시는 분들도 많으신데요!

사랑니때문에 찾아오시는 분들중에서는 간혹

'사랑니를 꼭 뽑아야 하나요?'

하고 질문을 하시는 분들이 계시답니다.

 

 

사랑니는 반드시 발치해야 하는것은 아닙니다.

하지만 사랑니가 매복되어 있거나 누워있거나 충치가 생긴다면

고민하지않고 발치를 하는 것이 좋습니다.

그리고 사랑니는 대부분 충치가 생기기 쉽기 때문에

많은 분들이 발치를 하시게되는 것입니다.

Hello! This is Sujin-dong Dental Clinic, The Seoul Dental Clinic.

Many of our patients come to the dentist because of their wisdom teeth!

For those who come because of their wisdom teeth

"Do I have to pull out my wisdom teeth?"'

There are people who are asking this question.

 

 

Wisdom teeth do not necessarily have to be removed.

But if your wisdom teeth are ambushed, lying down, or getting cavities

It's good to extract your teeth without worrying.

And wisdom teeth are most likely to have cavities

A lot of people are going to have their teeth extracted.

a4ae182a1d36462830fbcb12aa3ef304_1681541765_5389.png
 

 

 

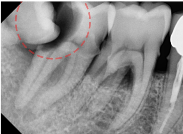
이 환자분은 어금니쪽에 통증이 있다고 하셔서

수진동치과 더서울치과를 찾아오셨습니다. 

정확히 진단을 하기 위하여 엑스레이로 확인을 했는데요.

사랑니가 이렇게 누워있었습니다.

This patient has pain in her molars

You are here at Soojin-dong Dental Clinic The Seoul Dental Clinic.

I checked with an X-ray to make an accurate diagnosis.

My wisdom tooth was lying down like this.

a4ae182a1d36462830fbcb12aa3ef304_1681541771_6366.png
 

 

조금더 확대한 사진을 보면 누워있는 사랑니와

바로 앞에 인접한 어금니 사이에 충치가 생겨서 상당히 통증이 느껴질법한 상태였습니다.

이 환자분의 어금니 충치는 심각한 상태였기 때문에 결국 발치 후 임플란트를 하게되었습니다.

 

 

환자분의 입장에서는 사랑니때문에 치과를 찾았는데

임플란트까지 해야 한다고 하여 당황스러우실 수 있는 상황이었습니다.

If you look at the enlarged picture, the wisdom tooth lying down

I had a cavity between the adjacent molars right in front of me, so I felt a lot of pain.

This patient's molar cavity was in a serious condition, so he eventually got an implant after extraction.

 

 

From your point of view, he went to the dentist because of his wisdom teeth

It was a situation where you could be embarrassed because you had to get an implant.

 

a4ae182a1d36462830fbcb12aa3ef304_1681541776_9412.jpg
 

 

환자분께는 사랑니 발치를 한 후에 그 앞의 제2대구치의 상태를

정확히 안내를 해 드렸습니다. 환자분께서는 임플란트를 하는것에 동의를 해 주셔서

당일 임플란트 시술까지 진행하시기로 하셨습니다.

You need to take out your wisdom teeth and then check the condition of the second molar in front of it

I told you exactly what to do. The patient agreed to have an implant

You have decided to perform implant procedures on the same day.

a4ae182a1d36462830fbcb12aa3ef304_1681541782_0694.jpg
 

 

이렇게 사랑니때문에 충치가 생기게된다면

심하면 사랑니가 아닌, 인접한 치아를 발치하고 임플란트까지

심어야 하는 경우가 발생할 수 있습니다.

 

그렇다면, 어떻게 하는것이 좋을까요?

If you get a cavity because of your wisdom tooth

If it's severe, it's not a wisdom tooth, but a tooth that's next to it is extracted and even an implant

You may need to plant them.

 

So, what should we do?

 

a4ae182a1d36462830fbcb12aa3ef304_1681541788_529.jpg
 

바로 정기적으로 수진동치과 더서울치과에 오셔서

치아 검진을 받으시는 것 입니다. 사랑니의 상태는 어떤지

다른 충치는 없는지 정기적으로 확인하여서 크게 진행되기 전에

미리미리 충치치료를 하시는것이 제일 좋답니다.

Please come to Soojin-dong Dental Clinic. The Seoul Dental Clinic

You're getting a dental checkup. What's the condition of your wisdom tooth

Check regularly to see if there are any other cavities before proceeding

It is best to treat cavities in advance.

a4ae182a1d36462830fbcb12aa3ef304_1681541797_3152.jpg 

 

 

평소 사랑니때문에 고민을 하고 계셨거나

치과에 가신지 반년이 넘으셨다면 꼭 지금 수진동치과 더서울치과를 찾아주세요.

정기검진으로 사랑니발치를 해야 하는지, 다른 문제는 없는지

정확하게 잘 검진해드리도록 하겠습니다!

If you're worried about your wisdom teeth

If you have been going to the dentist for more than half a year, please visit Sujin-dong Dental Clinic The Seoul Dental Clinic now.

Do I have to take out my wisdom teeth for a regular checkup or do I have any other problems

I'll check it out exactly!

 

 

#수진동치과 #더서울치과 #사랑니발치 #사랑니발치후임플란트 #임플란트 #성남임플란트 #성남사랑니

[출처] 수진동치과 <더서울치과>에서 누운 사랑니발치, 빠르고 안전하게 뽑아요!|작성자 더서울치과

 

이전글 Theseoul dental story 412
다음글 Theseoul dental story 410

목록보기