성남치과 <더서울치과>에서 수면시 이갈이 치료, 보톡스로 치료해요!
Seongnam Dental Clinic <The Seoul Dental Clinic> treats teeth grinding and Botox when sleeping!
안녕하세요! 성남치과 <더서울치과>입니다.
은근히 많은 분들이 가지고 있는 안좋은 습관, 바로 이갈이 입니다.
하지만 수면중 일어나는 이갈이는, 스스로 심각성을 모르는 경우가 많죠.
Hello! This is Seongnam Dental Clinic, The Seoul Dental Clinic.
A bad habit that many people have is brushing their teeth.
But most of the teeth grinding that happens during sleep, they don't know the seriousness of it.
이갈이를 하는 명확한 원인이 밝혀지지는 않았습니다.
스트레스 등의 심리적인 원인이 있는 분들에게 더 자주 나타난다고 보는데요.
이갈이를 하는 분들이 많다고 해서 가볍게 생각할 것은 아닙니다.
이갈이는 사실 치아에 아주 치명적인 문제를 야기시킬 수 있습니다.
There is no clear cause of tooth grinding.
I think it appears more often in people with psychological causes such as stress.
Just because there are a lot of people who grind their teeth doesn't mean they're going to take it lightly.
Teeth grinding can actually cause very fatal problems for your teeth.
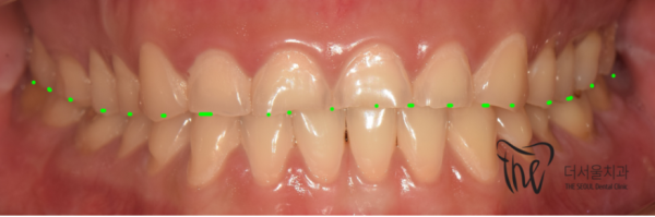
이 환자분은 치아가 거의 마모되어서 치과를 찾아오셨는데요.
보이시면 명백하게 이갈이로 인해 치아가 많이 손상된 것을 확인할 수 있습니다.
이렇게 심각하게 치아가 마모되는 것 자체로도 충분히 큰 문제이지만
이갈이를 할때 평소 이성적인 상황에서는 생각할 수 없을정도로
큰 힘으로 치아에 힘을 가하기 때문에 턱관절에도 문제를 일으키고
편두통까지 생길 수 있어 아주 다양한 합병증의 원인이 될 수도 있습니다.
This patient came to the dentist because his teeth were almost worn out.
If you see it, you can clearly see that the teeth are damaged a lot by the grinding.
It's a big enough problem that your teeth are seriously worn out
When you brush your teeth, you can't think of it in a rational situation
It can cause problems in the jaw joint because it exerts a lot of strength on the teeth
Migraine headaches can occur, which can cause a wide variety of complications.
하지만 이렇게까지 티가 나기 전에는 스스로에게
수면중 이갈이가 있는지 모르는 분들도 많습니다.
아침에 일어났을때마다 턱이 뻐근한 느낌이 들거나
얼얼한 느낌이 들 수 있는데요.
그렇다면 성남치과 더서울치과에 내원하시어 검진을 받아보시는게 좋습니다.
But before it's this obvious
Many people don't know if they have tooth grinding while sleeping.
Whenever I wake up in the morning, my chin feels stiff
It might feel tingling.
If so, it is recommended that you visit Seongnam Dental Clinic The Seoul Dental Clinic for a checkup.
위의 환자분은 이렇게 교합면에서보면, 이미 법랑질이 모두 갈리고
상아질까지 드러나 있습니다. 상아질이 드러나게되면 이미 이가 많이 시렸을 텐데
이 환자분께서는 괜찮아지겠지 싶은 생각으로 참으셨다고 합니다.
이렇게 이가 시리거나, 턱이 얼얼한 느낌이 들면 치과에 빠르게 내원하셔야합니다.
If you look at the occlusal surface, the enamel is already split
There's even dentin. If the dentin was exposed, your teeth would have been cold
This patient endured with the thought of getting better.
If your teeth ache like this or your chin stings, you should visit the dentist quickly.

이갈이가 생기는 원인을 아예 없앨수는 없지만
이갈이를 완화시키기 위해 보톡스를 이용해 치료를 할 수 있습니다.
저희 성남치과 더서울치과를 찾아주시면 턱관절 부위에 보톡스치료를 하여
턱관절 부위 근육에 힘이 들어가지 않도록 도와드리고 있습니다.
이를 통해 이갈이를 방지할 수 있습니다.
I can't get rid of the cause of tooth grinding
Botox can be used to treat tooth grinding.
If you visit Seongnam Dental Clinic The Seoul Dental Clinic, you can get Botox treatment on the jaw joint
We are helping you not to strain your muscles in the jaw joint.
This prevents tooth grinding.
이렇게 성남치과 더서울치과에서 보톡스치료로 이갈이증상 완화를 하신 후에는
스스로 스트레스와 우울감, 긴장감을 풀수 있는 다양한 생활의 관리적인 측면의 노력이 필요합니다.
이를 통해 이갈이를 완화할 수 있다면, 치아의 건강도 지키고
생활의 질도 높아질 수 있겠죠!
After getting rid of the symptoms of tooth grinding through Botox treatment at Seongnam Dental Clinic The Seoul Dental Clinic
Efforts in various management aspects of life are needed to relieve stress, depression, and tension on their own.
If you can relieve tooth grinding through this, you can protect your teeth
You can also improve your quality of life!
혹시 아침에 일어나을때 턱과 이가 얼얼한 느낌이 있으셨다면!
이가 일반적인 경우보다 갈린 느낌이 있다면, 태평역 5번 출구, 성남치과 더서울치과를 찾아주세요!
안전하고 정확한 치과진료를 약속해드리겠습니다.
If you had a tingling sensation in your chin and teeth when you woke up in the morning!
If your teeth feel more divided than usual, please visit Exit 5 of Taepyeong Station, Seongnam Dental Clinic, The Seoul Dental Clinic!
I promise you safe and accurate dental treatment.
#성남치과 #더서울치과 #이갈이 #이갈이치료 #보톡스 #성남보톡스 #보톡스이갈이 #이갈이보톡스치료
[출처] 성남치과 <더서울치과>에서 수면시 이갈이 치료, 보톡스로 치료해요!|작성자 더서울치과