더서울치과이야기

Theseoul dental story 416

작성자 더서울치과 등록일 2023-04-29 21:44:56 조회수 1,164회 댓글수 0건

성남치과 <더서울치과>에서 쉽게 썩는 사랑니, 당일발치하고 임플란트까지!

Wisdom teeth that easily rot at Seongnam Dental Clinic <The Seoul Dental Clinic> are removed on the same day and even implants!

 

안녕하세요! 성남치과 더서울치과입니다.

저희 더서울치과에서는 많은 환자분들의 사랑니 발치를 도와드리고 있습니다.

 

실제로 많은 환자분들께서 저희 더서울치과에서

쉽게, 아프지않게 사랑니를 후기를 많이 남겨주시는데요.

쉽게 바로 는 사랑니, 매복 사랑니 등등 다양한

형태의 사랑니를 당일 발치 해 드리고 있습니다.

Hello! I'm Seongnam Dental Clinic The Seoul Dental Clinic.

We, The Seoul Dental Clinic, are helping many patients extract their wisdom teeth.

 

In fact, many patients came to The Seoul Dental Clinic

You're leaving a lot of reviews about your wisdom teeth so that they don't get sick.

It's easy to apply wisdom teeth, ambush wisdom teeth, etc

We're taking out the wisdom tooth on the same day.

4663ae6bbd1cc5bef1a29e85d7ece520_1682772192_1919.jpg
 

 

많은 환자분들에 사랑니를 꼭 뽑아야 하는지 궁금해 하시는데요.

사랑니는 통상적으로 양치질이 잘 안되기 때문에 충치가 생기기 쉬운데,

단순히 사랑니만 충치가 생기는게 아니라, 인접한 어금니까지 영향을 주게됩니다.

 

심한경우에는 사랑니 뿐만 아니라, 앞에있는 어금니까지 발치하고 임플란트를 해야하는 경우가 생깁니다. ㅠㅜ

Many patients are wondering if they have to take out their wisdom teeth.

Wisdom teeth are usually prone to cavities because they are not easily brushed,

It's not just wisdom teeth that get cavities, it also affects the adjacent molars.

 

In severe cases, not only the wisdom teeth but also the molars in front of them need to be extracted and implanted.

4663ae6bbd1cc5bef1a29e85d7ece520_1682772197_8797.png
 

 

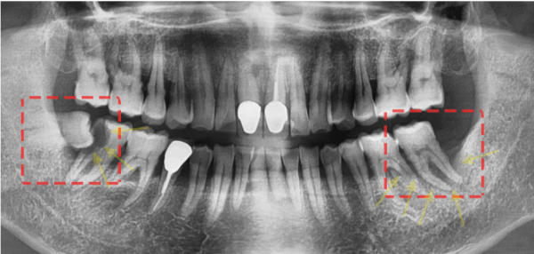
성남치과 더서울치과를 찾아주신, 이 환자분은 어금니의 통증으로인해 저희 치과를 찾아주셨습니다.

엑스레이를 보면, 양쪽 아래 어금니쪽이 문제가 있습니다.

 

한쪽은 사랑니때문에 충치가 생겨, 그 앞의 어금니가 거의 절반이 썩어있는 상태이고

사랑니가 없는쪽는 골 파괴 증상이 있어 염증이 가득 있습니다.

This patient, who visited Seongnam Dental Clinic The Seoul Dental Clinic, visited our dentist because of the pain in his molars.

If you look at the X-ray, there's a problem with both lower molars.

 

I have a cavity on one side because of my wisdom tooth, and almost half of the molars in front of me are rotten

The side without wisdom teeth has symptoms of bone destruction and is full of inflammation.

 

 

 4663ae6bbd1cc5bef1a29e85d7ece520_1682772203_1001.png 

4663ae6bbd1cc5bef1a29e85d7ece520_1682772209_0253.png 

 

확대한 엑스레이 사진으로 확인해보겠습니다.

좌측은 사랑니 앞의 어금니 치관의 1/2가 썩어있고

우측 사진은 치조골 염증에 의해 치조골퇴축이 생겼습니다.

Let's check with the enlarged X-ray.

On the left, 1/2 of the molar crown in front of the wisdom tooth is rotten

In the right picture, alveolar bone degeneration is caused by alveolar bone inflammation.

4663ae6bbd1cc5bef1a29e85d7ece520_1682772214_1855.jpg 

 

증상이 더 진행되기 전에 정기적인 치과 방문으로 저희 성남치과 더서울치과를

찾아오셨다면, 양쪽 어금니를 모두 살릴 수 있었을 테지만, 안타깝게도 지금 상태에서는

자연치아를 살릴 수가 없는 상황이었습니다.

Before the symptoms go further, we will visit Seongnam Dental Clinic The Seoul Dental Clinic on a regular basis

If you came, you could've saved both molars, but unfortunately, at this point

I couldn't save my natural teeth.

 

4663ae6bbd1cc5bef1a29e85d7ece520_1682772219_9525.png 

 

 

성남치과 더서울치과의 네비게이션 임플란트를 통해

임플란트 수술 계획을 확인하였습니다.

사랑니는 당일발치하고, 보존할 수 없는 어금니는 발치 후

임플란트를 하는것으로 설명드리고 동의하시어 치료가 진행되었습니다.

 

Through the navigation implant of Seongnam Dental Clinic The Seoul Dental Clinic

I checked the implant surgery plan.

Wisdom teeth are removed on the same day, and molars that cannot be preserved are removed

The treatment proceeded after explaining and agreeing to do the implant.

4663ae6bbd1cc5bef1a29e85d7ece520_1682772225_4933.png 

 

 

기존에 뼈가 많이 퇴축되어 있었던 부분은 골유도재생술을 진행하고

임플란트가 진행되었습니다.

위에 보이시는 것 처럼 사랑니당일 발치 후 임플란트가 총 3개 심어졌습니다.

뼈가 잘 아물은 4개월 후 지르코니아 크라운으로 치료가 마무리되었답니다.

On the part where the bones had shrunk a lot, bone induction regeneration was performed

The implant has progressed.

As you can see above, a total of three implants were planted after extraction on the day of wisdom teeth.

The treatment was completed with zirconia crown after four months of bone healing.

 

4663ae6bbd1cc5bef1a29e85d7ece520_1682772230_4875.jpg 

사랑니발치는 사랑니 자체보다, 그 주변의 소중한

어금니를 지키기 위해서라도 정기적인 검진을 통해 적당한 발치시기를

결정하는 것이 중요합니다.

More than the wisdom tooth itself, wisdom tooth extract is more precious around it

In order to protect your molars, I hope you can take them out properly through regular checkups

It's important to decide.

4663ae6bbd1cc5bef1a29e85d7ece520_1682772235_7472.jpg 

 

과거에는 사랑니 발치를 하려면 대학병원에 가야한다는 말이 있었습니다.

왜냐하면, 과거에는 CT촬영이 대학병원에서만 가능하던 편이었습니다.

하지만 최근에는 로컬치과에서도 CT촬영을 통해 정밀한 확인이 가능하고

무엇보다 대학병원처럼 며칠씩 대기를 하지 않아도 당일 발치를 할 수 있기 때문입니다.

In the past, there was a saying that you have to go to a university hospital to extract wisdom teeth.

Because, in the past, CT scans were only available at university hospitals.

Recently, however, local dentists have been able to accurately check through CT scans

Above all, it is because you can extract your teeth on the same day without waiting for a few days like a university hospital.

 

4663ae6bbd1cc5bef1a29e85d7ece520_1682772294_9362.jpg
 

 

3D CT촬영을 통해 정확히 진단하고

안전하게 사랑니발치를 해 드릴 수 있는 성남치과 더서울치과에

정기적으로 방문하셔서 사랑니발치를 해 보세요!

안전하고 정확하게 당일발치를 도와드리겠습니다.

3D CT to diagnose accurately

Seongnam Dental Clinic, where you can safely get your wisdom teeth removed. The Seoul Dental Clinic

Visit regularly and get your wisdom teeth removed!

We will help you with the safe and accurate day shipment.

 

#성남치과 #더서울치과 #성남더서울치과 #성남사랑니발치 #태평역사랑니발치 #사랑니대학병원 #대학병원사랑니발치 #사랑니발치

[출처] 성남치과 <더서울치과>에서 쉽게 썩는 사랑니, 당일발치하고 임플란트까지!|작성자 더서울치과

 

이전글 Theseoul dental story 417
다음글 Theseoul dental story 415

목록보기