더서울치과이야기

Theseoul dental story 417

작성자 더서울치과 등록일 2023-04-29 21:46:51 조회수 1,155회 댓글수 0건

주걱턱교정, 투명교정 인비절라인으로 모란역치치과 더서울치과에서 정확하게 교정해요

The Seoul Dental Clinic accurately corrects Moran Station Dental Clinic with spatula jaw correction and transparent correction invisual line

 

안녕하세요~! 모란역치과 더서울치과입니다.

저희 더서울치과는 디지털치과로서 다양한 치과진료를

디지털치과진료 방식으로 제공해드리고 있습니다.

 

특히 치아교정역시 디지털교정인

인비절라인을 통해 다양한 환자분들의 치아교정을

도와드리고 있습니다.

 

치과 교정환자분들 중 약 90%가 투명교정 인비절라인을

선택하시는 인비절라인의 공식인증치과, 모란역 더서울치과의

주걱턱 인비절라인 교정 증례를 소개해 드리겠습니다.

Hello! I'm Moran Station Dental Clinic, The Seoul Dental Clinic.

The Seoul Dental Clinic is a digital dental clinic that provides various dental treatments

We offer it as a digital dental treatment method.

 

Especially, the braces are digital braces

Through the Invisal line, I'm going to use various patients' braces

I'm helping you.

 

About 90 percent of orthodontics patients use transparent orthodontic inflorescence lines

The official certified dental clinic of the selected Invisaline, Moran Station The Seoul Dental Clinic

Let me introduce you to a case of correction of the sputum jaw Invisaline.

 

4663ae6bbd1cc5bef1a29e85d7ece520_1682772367_5423.png
 

 

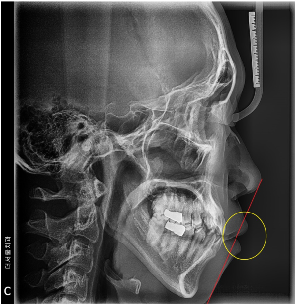
환자분의 얼굴을 옆에서 찍은 세팔로(Ceph)사진을 확인해보겠습니다.

빨간색 선이 코 끝과 턱 끝을 이은 '리케츠라인'입니다.

이 라인보다 입이 튀어나와 있으면 돌출입이라고 하는데요.

개선의 필요성이 있는 상태로 볼 수 있습니다.

Let's take a look at the Ceph picture of your face.

The red line connects the tip of the nose and the tip of the chin.

If your mouth sticks out more than this line, it's called a protruding mouth.

It can be seen as a condition where there is a need for improvement.

4663ae6bbd1cc5bef1a29e85d7ece520_1682772373_0151.png
 

 

이 환자분의 치아 사진입니다.

정면에서 보았을대 치아가 정상적으로 겹치는게 아니라

맞 닿아 있습니다.' 이러한 치아를 엣지 투 엣지(edge to edge)라고 합니다.

This is a picture of your teeth.

He saw it from the front. His teeth didn't overlap normally

It's touching.' These teeth are called edge to edge.

 

4663ae6bbd1cc5bef1a29e85d7ece520_1682772378_9131.png
 

뿐만아니라 이렇게 측면에서 보면 앞니가 앞닿아 있는것 뿐만 아니라

송곳니의 경우에는 아예 아랫니가 윗니 위쪽으로 나와있습니다.

이러한 부정교합을 보이고 있기 때문에 교정을 통해 치료가 필요한 상황입니다.

Not only that, but from the side, it's not only that your front teeth are in front of you

In the case of fangs, the lower teeth are protruded from the upper teeth.

Because of this malocclusion, treatment is needed through correction.

 

4663ae6bbd1cc5bef1a29e85d7ece520_1682772383_1303.jpg
 

 

저희 모란역치과 더서울치과에서는 투명교정 인비절라인을 위해

우선 환자분의 구강스캔을 통해 정확하게 환자분의 치아상태를 컴퓨터로 확인합니다.

확인이 완료되는대로 인비절라인의 클린체크 시뮬레이션을 통해 교정계획을 확인할 수 있는데요.

Moran Station Dental Clinic, The Seoul Dental Clinic, for transparent orthodontic Invisual Line

First of all, the patient's dental condition is accurately checked with the computer through the patient's oral scan.

As soon as the confirmation is completed, you can check the calibration plan through the clean check simulation of Invisaline.

 

4663ae6bbd1cc5bef1a29e85d7ece520_1682772388_4582.png
 

 

이렇게 현재상태의 치아가 어떤 치료계획을 통해 몇주간의 치료로

치아가 어떻게 이동되는지를 확인할 수 있게됩니다.

이것이 바로 인비절라인의 장점이라고 할 수 있습니다.

This is how the teeth in their current state are treated for weeks through a treatment plan

You can see how the teeth move.

This is the advantage of the Invisal line.

 

4663ae6bbd1cc5bef1a29e85d7ece520_1682772393_4809.jpg 

 

물론 저희 모란역치과 더서울치과의 담당치과의사가 저 치료계획을

꼼꼼히 검토하여 수정이 필요한 경우 수정을 통해 효율적으로 교정이 될 수 있도록 도와드린답니다.

Of course, the dentist in charge of the Moran Station Dental Clinic, The Seoul Dental Clinic, has a plan for that treatment

We will review it carefully and help you to correct it efficiently through modification.

4663ae6bbd1cc5bef1a29e85d7ece520_1682772398_4957.jpg
 

이렇게 제작된 투명교정 인비절라인 장치를 환자분께서 직접 착탈을 해 가며

치료가 필요한 기간동안 스스로 교정을 해 나가고, 대략 3개월 정도에 한번씩

치과에 내원하여 치료를 해 나가는 방식으로 진료가 됩니다.

The patient will take off the transparent orthodontic invisual line device

He's self-correcting for a period of time when he needs treatment, about once every three months

It is treated by visiting the dentist.

 

4663ae6bbd1cc5bef1a29e85d7ece520_1682772403_6467.png
 

 

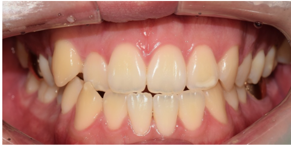
모란역치과 더서울치과에서 주걱턱을 인비절라인으로 교정한 사례를 잘 보셨나요?

일반적으로 윗니가 아랫나를 예쁘가 잘 덮고 있는 형태로 교정이 완료된 모습입니다.

교정이 완료된 후에도 환자분께서 스스로 잘 관리하여 교정을 잘 유지해 가시면 된답니다.

 

통상적으로 교정 후 정기검진은 3~6개월에 한번씩 모란역치과 더서울치과를 찾아주시면 된답니다.

Did you see the case of correcting the spatula jaw with an invisual line at Moran Station Dental Clinic The Seoul Dental Clinic?

In general, the upper teeth have been corrected in a form that covers the lower teeth well.

Even after the correction is completed, the patient can take good care of himself and maintain the correction.

 

Usually, you can visit Moran Station Dental Clinic The Seoul Dental Clinic every three to six months for regular checkups after correction.

 

4663ae6bbd1cc5bef1a29e85d7ece520_1682772408_4333.jpg
 

이 환자분은 대략 13개월 정도로 치료기간이 소요되었습니다.

꼼꼼히 잘 교정을 해 주셨기 때문인데요. 

 

보신것 처럼 저희 모란역치과 더서울치과에서는 주걱턱 등의 다양한 형태의

부정교합을 투명교정 인비절라인으로 잘 치료해드릴 수 있답니다.

치아교정에 관심이 있으시다면 지금 치과를 찾아주세요!

투명교정 인비절라인으로 잘 치료해드리겠습니다.

This patient took about 13 months of treatment.

It's because they corrected it thoroughly.

 

As you can see, at Peony Station Dental Clinic, The Seoul Dental Clinic, there are various types such as spatula jaws

We can treat malocclusion well with transparent correction invisual line.

If you are interested in orthodontics, please visit the dentist now!

I will treat you well with transparent correction injeoline.

 

#모란역치과 #더서울치과 #성남치과 #인비절라인 #주걱턱교정 #주걱턱투명교정 #성남투명교정 #성남인비절라인

[출처] 주걱턱교정, 투명교정 인비절라인으로 모란역치과 더서울치과에서 정확하게 교정해요|작성자 더서울치과

 

이전글 Theseoul dental story 418
다음글 Theseoul dental story 416

목록보기