더서울치과이야기

Theseoul dental story 385

작성자 더서울치과 등록일 2023-02-10 13:32:36 조회수 1,399회 댓글수 0건

성남치과 <더서울치과>의 어린이 돌출입 교정 (소아교정) 헤드기어 후기!

Seongnam Dental Clinic <The Seoul Dental Clinic>'s review of children's protruding mouth correction (child correction) headgear!

 

안녕하세요! 성남치과 <더서울치과>입니다.

저희 더서울치과에서는 많은 환자분들의 치아교정을 도와드리고 있습니다.

그 중에서도 오늘은 어린이 돌출입 치아교정 후기를 남겨드리겠습니다.

Hello! This is Seongnam Dental Clinic <The Seoul Dental Clinic>.

The Seoul Dental Clinic helps many patients with orthodontic treatment.

Among them, I will leave a review of children's extruded teeth correction today.

 

1e6d6807d4400afd15ffb8c92831e783_1676003517_1324.png
 

치아나 잇몸뼈 자체가 앞으로 튀어나온 것을

돌출입 이라고 하는데요. 웃을때 잇몸이 과하게 보이는 단점과 함께

입이 잘 다물어지지 않는다는 단점도 있습니다.

이러한 돌출입은 얼굴뼈가 성장하는 시기인 어린시절에

미리미리 교정하여 개선하면 좋은 효과를 빠르게 볼 수 있습니다.

The teeth or gums are protruding forward.

It's called a protruding mouth. When you smile, your gums look too much.

There is also a disadvantage that it is hard to close the mouth.

These protruding mouths are used in childhood, when facial bones grow.

If you correct it in advance and improve it, you can see good results quickly.

 

1e6d6807d4400afd15ffb8c92831e783_1676003526_5454.png
 

 

오늘은 바로 헤드기어를 이용해 돌출입 교정을 진행한 사례입니다.

헤드기어는 교정의 한 종류입니다.

입안에 끼는 장치

머리에 쓰는 밴드

이 둘을 연결하는 탄성 모듈

이렇게 구성되어 있습니다.

Today is the case of using headgear for extrusion correction.

Headgear is a type of calibration.

a device that fits in the mouth

a headband

Elastic module connecting these two

It's organized like this.

1e6d6807d4400afd15ffb8c92831e783_1676003535_5564.png
 

 

위턱뼈가 앞으로 많이 돌출되어 있는경우

위쪽 턱뼈의 성장을 지연시키기 위해 사용하는 것으로 이러한 형태로

뒤로 당겨주는 형태로 착용을 하게됩니다.

 

하루에 12시간~14시간은 착용하고 있어야 하므로

부모님의 관심과 관리가 아주 중요하다고 볼 수 있습니다.

(보통 저녁식사 후 수면하는 시간동안 착용 하는 것을 권장)

If the upper jawbone protrudes a lot forward

It is used to delay the growth of the upper jawbone, and in this form,

You can wear it in the form of pulling it back.

 

I have to wear it for 12 to 14 hours a day.

Parents' interest and care are very important.

(It is usually recommended to wear during sleep after dinner)

1e6d6807d4400afd15ffb8c92831e783_1676003543_7077.png
 

 

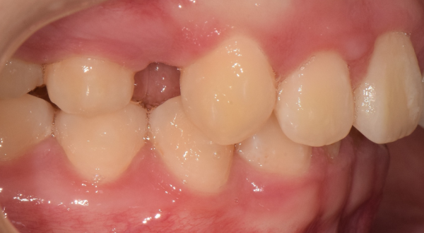
또한 이 환자의 경우에는 위턱이 많이 나온 상황이었는데요.

측절치의 결손으로 위턱과 아래턱이 부조화 하게 되었습니다.

헤드기어를 이용하여 교정을 약 12개월간 진항한 후에 상악의

작은 어금니를 발치하여 인비절라인으로 교정을 하게되었습니다.

Also, in the case of this patient, the upper jaw came out a lot.

The defect of the lateral incisors caused the upper and lower jaws to be incongruous.

After 12 months of calibration using headgear, the maxillary

A small molar was extracted and corrected with an invective line.

 

1e6d6807d4400afd15ffb8c92831e783_1676003554_4828.png
 

 

아직 치료가 진행중이지만 많은 개선이 이루어진 것을 확인하실 수 있습니다. 

어린아이들은 양치질도 부모님이 도와주는것이 좋습니다.

유치에서 영구치로 이갈이를 하게될 무렵 성남치과 더서울치과를 찾아주세요.

구강검진을 통해 정상적으로 치아가 잘 나고 있는지, 문제는 없는지

확인하여 체크를 해 보도록 하세요!

Treatment is still in progress, but you can see that many improvements have been made.

It is good for young children to help their parents brush their teeth.

Please visit Seongnam Dental Clinic and The Seoul Dental Clinic when you change your teeth from kindergarten to permanent teeth.

Through oral examination, whether your teeth are doing well or not.

Check it out and check it out!

 

#성남치과 #더서울치과 #어린이교정 #돌출입교정 #어린이헤드기어교정 #헤드기어교정 #헤드기어 #성남어린이교정 #소아교정

[출처] 성남치과 <더서울치과>의 어린이 돌출입 교정 (소아교정) 헤드기어 후기!|작성자 더서울치과

 

이전글 Theseoul dental story 386
다음글 Theseoul dental story 384

목록보기