성남치과 <더서울치과>의 다시생긴 어금니충치, 세라믹 인레이로 치료하기!
Seongnam Dental Clinic <The Seoul Dental Clinic>'s newly formed molar tooth, treated with ceramic inlay!
안녕하세요! 성남치과 <더서울치과>입니다.
오늘은 충치치료에 대한 이야기를 해 보도록 하겠습니다.
충치는 누구나 걸릴 수 있는 질환이지만
충치의 진행정도와 범위에 따라서 치료를 할 수 있는 방법이나
치료기간, 비용등이 모두 달라지게 됩니다.
Hello! This is Seongnam Dental Clinic <The Seoul Dental Clinic>.
Today, we're going to talk about cavity treatment.
Tooth decay is a disease that anyone can get.
Depending on the progression and extent of the cavity, there are ways to treat it.
The treatment period, cost, etc. all change.
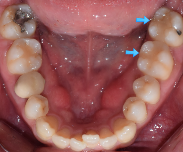
이 환자분은 예전 어금니를 아말감이라는 재료로 치료를 하셨는데
'아말감'은 수은이 포함된 치과재료로 과거에 많이 사용되었던 재료입니다.
오랜 시간이 지나면서 치아와 아말감 사이에 틈이 생기게되고
그 틈으로 음식물이 끼거나 하는 등 관리가 안되면 치료를 했던 부위에
다시 충치가 생길 수도 있게 되는 것 입니다.
This patient used to treat her molars with a material called amalgam.
Amalgam is a dental material that contains mercury and has been used a lot in the past.
Over time, there's a gap between the teeth and the amalgam.
If food gets stuck in the gaps or if it's hard to take care of,
You can get cavities again.
정확한 진료를 위해 환자분의 치아를 꼼꼼히 확인한 결과
이 환자분은 기존의 아말감을 제거하고 오염된 부위를 추가로 제거한 뒤
세라믹 인레이로 치료를 하는 것으로 결정되었습니다.
After thoroughly checking your teeth for accurate medical treatment,
This patient will remove the existing amalgam, remove additional contaminated areas,
It was decided to treat with ceramic inlay.

인레이는 충치의 범위가 초기를 지나서 넓어지게 되면 선택하게 되는 치료방식입니다.
충치를 삭제한 공간에 보철재료를 채워넣어 자연치아를 그대로 잘 사용할 수 있도록 하는 치료인데요.
골드나 세라믹 등 다양한 재료가 있을 수 있습니다.
세라믹은 우선 치아의 색과 비슷하기 때문에
심미적으로도 큰 장점이 있습니다.
In-lay is a treatment method that you choose when the range of cavities widens after the early stages.
It is a treatment that fills the space where the cavity has been removed with prosthetic materials so that natural teeth can be used well.
There can be various materials such as gold or ceramic.
Ceramic is similar to the color of teeth.
There is a big advantage in aesthetics.
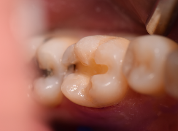
기존의 아말감을 제거하고
치아를 깔끔하게 프랩해 놓은 상태입니다.
예쁘게 치아를 깍아놓은 것들을 바로 프랩이라고 한답니다.
It removes the original amalgam.
The teeth are neatly wrapped.
Those that have their teeth cut beautifully are called "fraps."
저희 성남치과 더서울치과에서는 세라믹인레이를 주로 사용하여
치아를 수복하고 있습니다. 보이시는 것 처럼 치아의 색과 유사하고
시간이 지나도 치아와 인레이 사이에 틈이 잘 만들어지지 않아 오래사용하기 좋은 재료입니다.
Seongnam Dental Clinic The Seoul Dental Clinic mainly uses ceramic inlay.
I'm repairing my teeth. As you can see, it's similar to the color of the teeth.
It is a good material to use for a long time because the gap between the teeth and the inlay is not well formed over time.
충치치료를 했던 곳이라 하더라도 다시 문제가 생길 수 있습니다.
때문에 치료를 했다 하더라도 정기적으로 치과에 방문하여 치아상태를 정기적으로
검진하는 것이 좋습니다.
Even if it is a place where tooth decay was treated, problems can occur again.
Therefore, even if you have been treated, you should visit the dentist regularly to check your teeth condition.
It's a good idea to have a checkup.
#성남치과 #더서울치과 #성남더서울치과 #인레이 #충치치료 #성남인레이 #세라믹인레이