더서울치과이야기

Theseoul dental story 413

작성자 더서울치과 등록일 2023-04-23 01:00:50 조회수 1,424회 댓글수 0건

태평역치과 <더서울치과>의 비발치 덧니교정, 교정유지장치 꼭 해야 할까?

Should the non-extracting snaggletooth correction and correction maintenance of Taepyeong Station Dental Clinic <The Seoul Dental Clinic> be performed?

 

 

안녕하세요! 저희 더서울치과에서는 많은 환자분들께서

투명교정 인비절라인 등으로 치아교정을 하고 계십니다.

치아교정은 짧게는 몇개월, 길면 몇년 가까이 시간이 필요한 치료이죠.

이를 통해 교정이 끝나고 나면, 누구나 교정유지기를 부착하게됩니다.

 

이러한 교정유지기에 대해서 많은 교정환자분들께서 질문을 하시는데요.

교정유지기를 언제까지 껴야 하나요? 

입니다.

Hello! At The Seoul Dental Clinic, many patients

You're wearing orthodontic braces with transparent or invisual lines.

Orthodontics is a treatment that requires months at most, and years at most.

This allows anyone to attach a calibration retainer when the calibration is done.

 

Many orthodontic patients are asking questions about these orthodontic maintenance.

How long do I have to wear the braces?

 

1d3f2a2433b933c66eb03eb1b17e3c6b_1682179222_2217.jpg
 

 

정답은, 오래낄 수록 좋습니다.

때문에 평생 낀다고 생각하는게 좋습니다.

 

사실 치아교정을 하더라도, 우리 치아는 다시 원래의 자리로

돌아가려고 하는 성질이 있습니다. 때문에 교정이 끝난 후에

교정유지기를 통해 돌아가려는 힘을 억제하는 장치가 있어야 가지런한 치아가

유지된답니다.

The answer is, the longer you wear it, the better.

So it's good to think that you're wearing it for the rest of your life.

 

In fact, even if we have braces, our teeth are back to their original places

I have a tendency to go back. So after the braces are finished

You need to have a device that suppresses the force to return through the orthodontic retainer to make your teeth even

It's maintained.

 

1d3f2a2433b933c66eb03eb1b17e3c6b_1682179228_9522.png
 

이 환자분은 덧니때문에 저희 태평역치과 더서울치과에서

인비절라인 교정을 진행하신 분 입니다. 

인비절라인의 클린체크시스템을 통해 교정계획을 확인해본 결과

비발치를 통해서도 예쁘게 교정이 가능하다는 진단이 있어 비발치로 교정이 진행되었습니다.

Because of his snaggletooth, the Seoul Dental Clinic at Taepyeong Station

This is the person who did the in-visual line correction.

As a result of checking the calibration plan through the clean check system of Invisaline

There is a diagnosis that it can be corrected beautifully through non-extracting, so the correction was carried out with non-extracting.

 

1d3f2a2433b933c66eb03eb1b17e3c6b_1682179234_4087.png
 

 

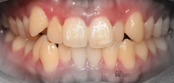
약 11개월의 기간이 소요되었고 가지런한 덧니교정이 잘 되었습니다.

비발치를 통해서도 환자분의 구강 상태에 따라서는 이렇게 덧니교정이 가능할 수 있습니다.

 

이렇게 가지런하게 치아교정이 되었으니 끝일까요?

아닙니다!

It took about 11 months and had a good correction on the snaggletooth.

Even through non-extracting, it may be possible to correct the snaggletooth depending on the patient's oral condition.

 

Is this the end of my braces?

No!

 

1d3f2a2433b933c66eb03eb1b17e3c6b_1682179240_71.png
1d3f2a2433b933c66eb03eb1b17e3c6b_1682179241_4489.png
 

 

 

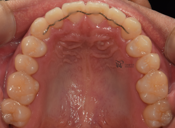
이렇게 위, 아래 치아의 뒷면에 교정유지기를 부착하였습니다.

이러한 교정유지기는 처음에는 이물감이 느껴질 수 있지만 곧 익숙해지셔서

내 몸의 일부인것 처럼 자연스럽게 느끼실 수 있답니다.

the upper and lower teeth.

You might feel a foreign feeling at first, but you'll get used to it soon

You can feel it naturally as if it's part of your body.

 

1d3f2a2433b933c66eb03eb1b17e3c6b_1682179248_6353.jpg
 

 

이렇게 교정후 교정유지기를 부착한 후에는 대략 3개월에 한번씩은

태평역치과 더서울치과를 찾으셔서 교정이 잘 유지되고 있는지 확인을하는

정기검진을 받으시는게 중요하답니다!

 

고정유지기가 떨어질 수도 있 기 때문이죠!

만약 3개월이 지나고, 1년이 넘어서까지 치과를 다시 찾지 않으면

교정해놓은 치아가 다시 흐트러질 수 있으니 꼭 정기적인 내원을 해 주세요!

 

https://www.youtube.com/watch?v=Z3PFaAK9_R8

 

 

오늘은 태평역치과 더서울치과의 원장님들께서 운영하시는 유튜브채널인

The의가형제 채널에 올라온 영상으로 마무리할게요!

치아 유지장치에 대한 주의사항을 저희 박현준 원장님께서

잘 알려드리는 영상이랍니다! 꼭 시청해주세요!

After attaching the braces like this, about once every three months

Find Taepyeong Station Dental Clinic The Seoul Dental Clinic to check if the correction is maintained well

It's important to have a regular checkup!

 

This is because the fixed retainer may fall off!

If you don't go back to the dentist after 3 months, after 1 year

Your teeth may get messy again, so please visit the hospital regularly!

 

https://www.youtube.com/watch?v=Z3PFaAK9_R8

 

 

Today, I'm going to introduce a YouTube channel run by the directors of Taepyeong Station Dental Clinic, The Seoul Dental Clinic

I'll wrap up with a video posted on The's Brotherhood channel!

Director Park Hyunjoon gave precautions for tooth maintenance

I'm telling you this video well! Please watch it!

 

 

#태평역치과 #더서울치과 #성남치과 #치아교정 #성남인비절라인 #성남투명교정 #교정유지기 #교정유지장치

[출처] 태평역치과 <더서울치과>의 비발치 덧니교정, 교정유지장치 꼭 해야 할까?|작성자 더서울치과

 

이전글 Theseoul dental story 414
다음글 Theseoul dental story 412

목록보기