더서울치과이야기

Theseoul dental story 448

작성자 더서울치과 등록일 2023-07-14 10:41:43 조회수 1,363회 댓글수 0건

성남치과 <더서울치과>에서 주걱턱 개선, 투명교정 인비절라인으로?!

 

 

안녕하세요! 성남치과 <더서울치과>입니다.

디지털치과인 더서울치과는 많은 환자분들께서

치아교정 역시, 디지털교정인 인비절라인을 선택하시는

인비절라인 공식 인증치과입니다.

 

 

디지털교정인 인비절라인은 다양한 장점이 있지만

그 중에서도 투명하다는 것이 가장 큰 장점일 수 있습니다.

왜냐하면 부정교합으로 인해 치아교정이 필요한 분들도

사회생활을 하다보면 눈에 띄는 교정장치를 하는것이

현실적으로 어려워 교정을 포기하시는 경우가 많기 때문입니다.

Seongnam Dental Clinic <The Seoul Dental Clinic> improves the spatula jaw, with transparent correction invisual lines?!

 

 

Hello! This is Seongnam Dental Clinic, The Seoul Dental Clinic.

The Seoul Dental Clinic, a digital dentist, has a lot of patients

For braces, if you choose the digital braces, Invisaline

This is the official certified dental clinic of Invisaline.

 

 

Invisaline, which is digital correction, has many advantages

Among them, transparency may be the biggest advantage.

Because of malocclusion, people who need braces

In social life, wearing braces that stand out

This is because there are many cases where they give up correction because it is practically difficult.

 

 

 6d6e796b89a8b78ad4eb618c4f9249ba_1689298858_6528.png
6d6e796b89a8b78ad4eb618c4f9249ba_1689298859_0117.png 

 

 

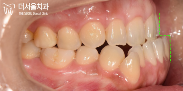
이 환자분은 입을 다물고 있어도 아래턱이 나와있었습니다.

육안으로 확인해 보면, 위턱에 비해 아래턱이 발달한 케이스로

Class 3급 부정교합(주걱턱)으로 확인이 됩니다.

This patient's jaw was sticking out even if he kept his mouth shut.

If you look at it with your eyes, the lower jaw is more developed than the upper jaw

Class 3 malocclusion (paddle jaw) is confirmed.

 

6d6e796b89a8b78ad4eb618c4f9249ba_1689298864_0715.png
 

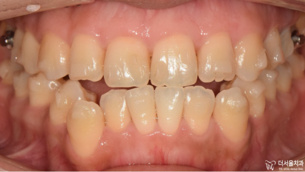
아래턱이 앞으로 돌출이되면서 정면에서 보면

반대교합이 확인됩니다.

입이 완전히 다물어지지 않는 상태로 일상에서도

많은 불편함이 있었을 듯 합니다.

The lower jaw protrudes forward, and when you look at it from the front

Opposite occlusion is confirmed.

I can't close my mouth completely. Even in my daily life

There must have been a lot of inconvenience.

 

6d6e796b89a8b78ad4eb618c4f9249ba_1689298869_6291.jpg
 

 

 

성장기의 아이들이 아니라 성인이기 때문에 턱의 불균형을

완전히 교정하는것이 쉽지는 않습니다. 다만, 최대한 개선할 수 있도록

교정계획을 세워, 심미적인 부분과 함개 기능도 개선이 되는 것을 목표로 하였습니니다.

I'm not a growing child, but an adult, so I'm trying to get rid of the imbalance in my jaw imbalance

It is not easy to correct completely. However, to improve as much as possible

By establishing a correction plan, we aimed to improve the aesthetic part and the occlusion function.

6d6e796b89a8b78ad4eb618c4f9249ba_1689298874_7187.png
 

 

성남치과 더서울치과에서는 교정계획을 세우기 위해

구강스캔을 통해 환자분의 치아상태를 컴퓨터로 확인한 후

인비절라인의 클린체크시스템으로 방문 당일, 이렇게 바로

치아의 교정계획과 결과를 확인할 수 있게됩니다.

Seongnam Dental Clinic, The Seoul Dental Clinic, to make a correction plan

Check the patient's teeth on the computer through an oral scan

On the day of your visit with the Invisaline Clean Check System

You can check the correction plan and results of the teeth.

 

 

6d6e796b89a8b78ad4eb618c4f9249ba_1689298879_7416.png
 

 

 

교정계획을 최종적으로 확인한 후에 

치아에 치아의 색과 유사한 '고정장치(어태치먼트)'를 부착하여

교정을 진행하게 됩니다.

After final confirmation of the calibration plan

Attach a "fixed device (attachment)" similar to the color of the tooth to the tooth

You will proceed with the calibration.

 

6d6e796b89a8b78ad4eb618c4f9249ba_1689298884_0818.jpg
 

보이시는 것 처럼 투명한 교정장치가 바로 인비절라인입니다.

이를 통해 치아교정을 진행하구요. 

 

투명한 교정장치이기때문에 교정을 하는 중에도

교정사실이 잘 드러나지 않는다는 큰 장점이 있답니다.

As you can see, the transparent calibration device is the invisible line.

Through this, we proceed with orthodontic treatment.

 

It's a transparent braces, so even when I'm wearing braces

There is a big advantage that the correction is not revealed well.

 

6d6e796b89a8b78ad4eb618c4f9249ba_1689298890_0057.png
 

 

이 환자분의 경우, 윗니가 아랫니를 덮을 수 있도록

양쪽 아래 치아를 최대한 뒤쪽으로 이동시켜서 정상적인

교합이 가능하도록 교정을 진행하였습니다.

 

골격은 class3급이어서 완벽한 어금니 교합은 어려웠지만

자연스럽게 입이 다물어지는 형태로 치열이 교정되어 환자분께서는

만족하였던 증례입니다.

In this patient's case, so that the upper teeth can cover the lower teeth

Move both lower teeth backward as much as possible, so that it's normal

The correction was carried out to enable occlusion.

 

The skeleton was class 3, so perfect molar occlusion was difficult

Your teeth will be fixed in a way that naturally closes your mouth

It's a case of satisfaction.

 

6d6e796b89a8b78ad4eb618c4f9249ba_1689298894_796.jpg
 

보이시는 것 처럼 투명교정 인비절라인으로

수술 없이 클래스3 주걱턱 교정을 진행하였습니다.

철사를 치아에 부착하지 않더라도 투명한 인비절라인으로

최대한 자연스럽게 치아교정을 도와드리겠습니다.

 

 

치아교정에 대하 고민을 하고 계시다면

태평역치과 더서울치과를 찾아주세요!

As you can see, I'm going to use transparent correction in my eyes

Class 3 spatula jaw correction was performed without surgery.

Even if you don't attach a wire to your teeth, use a transparent invisible line

I'll help you with your braces as naturally as possible.

 

 

If you're thinking about braces

Please visit Taepyeong Station Dental Clinic The Seoul Dental Clinic!

 

 

#태평역치과 #더서울치과 #성남치과 #인비절라인 #주걱턱교정 #성남인비절라인 #성남투명교정

[출처] 성남치과 <더서울치과>에서 주걱턱 개선, 투명교정 인비절라인으로?!|작성자 더서울치과

 

이전글 Theseoul dental story 449
다음글 Theseoul dental story 447

목록보기