더서울치과이야기

Theseoul dental story 453

작성자 더서울치과 등록일 2023-07-28 23:32:18 조회수 1,331회 댓글수 0건

태평역치과, <더서울치과> 앞 어금니뿌리에 영향을 준 사랑니 발치 후 임플란트까지 한 증례

 

 

 

안녕하세요! 태평역치과 <더서울치과>입니다.

오늘은 사랑니때문에, 앞의 어금니를 발치하고 임플란트까지

하게된 증례를 소개해 드리도록 하겠습니다.

 

사랑니가 날때 아프지 않아서, 스스로 사랑니가 맹출된것을 모르는 경우도 있습니다. 

하지만 사랑니를 그대로 방치했다가 주변의 치아에 영향을 주는 경우가 있는데요.

 

이 환자분께서는 어금니가 아프시다고, 충치가 생긴것 같다는

말씀을 하시며 저희 태평역치과 더서울치과를 찾아주셨습니다.

그와 함께 얼마전부터 사랑니가 자란것 같다고 하셨습니다.

Taepyeong Station Dental Clinic, <The Seoul Dental>, a case of wisdom tooth extraction and implantation that affected the molar root in front of <The Seoul Dental>

 

 

 

Hello! This is Taepyeong Station Dental Clinic, The Seoul Dental Clinic.

Today, because of my wisdom teeth, I took out the molars in front of me and even got implants

I'd like to introduce you to a case in which I ended up doing it.

 

It doesn't hurt when wisdom teeth come out, so there are cases where you don't know that your wisdom teeth are out.

However, there are cases where wisdom teeth are left unattended and affect the surrounding teeth.

 

This patient's back teeth hurt. He's got a cavity

He came to Taepyeong Station Dental Clinic and The Seoul Dental Clinic.

He said that wisdom teeth seem to have grown with him for some time.

 

81bb394be5e83eb651429c353fb8b703_1690554698_8642.png
 

 

이렇게 육안으로 보시면 사랑니가 살짝 보이는것을 알 수 없습니다.

이렇게 누워있는 사랑니들은 문제를 일으키는 경우가 많기 때문에

사랑니가 나는것 같다는 생각이 들면, 치과에 내원하셔서

사랑니를 발치해야 하는지, 언제쯤 발치하는게 좋은지 등을

진료받으시는게 좋습니다.

If you look at it with your naked eye, you can't see the wisdom teeth slightly.

Wisdom teeth lying down like this often cause problems

If you think you're getting wisdom teeth, visit the dentist

Whether I should remove my wisdom tooth, when is the best time to remove it, etc

You'd better see a doctor.

81bb394be5e83eb651429c353fb8b703_1690554705_7349.png
 

 

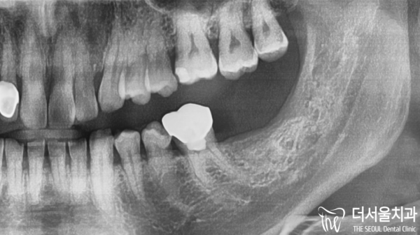
엑스레이 사진을 보면 사랑니가 누워서 인접치에 충치를 발생시켰습니다.

넓은 부위에 충치가 퍼져있어, 뿌리까지 문제가 생긴 상태로 보입니다.

미리 발치를 한다면, 앞에 인접한 치아는 문제가 없었을 것 같습니다.

If you look at the X-ray, the wisdom teeth lie down and cause cavities in the adjacent teeth.

The cavity is spread over the wide area, so it seems that there is a problem up to the root.

If you had your teeth extracted in advance, I don't think there would have been a problem with the front teeth.

 

 

81bb394be5e83eb651429c353fb8b703_1690554710_7315.png
 

 

 

환자분께 상태를 설명드리고 자연치아를 지킬수 있는 방법을 알려드렸으나

임플란트를 원하셔서 사랑니와 인접치를 발치한 후 임플란트를 심어드리기로 하였습니다.

I explained the patient's condition and told him how to protect his natural teeth

Since you want an implant, we decided to remove the wisdom teeth and adjacent teeth and then implant them.

 

 

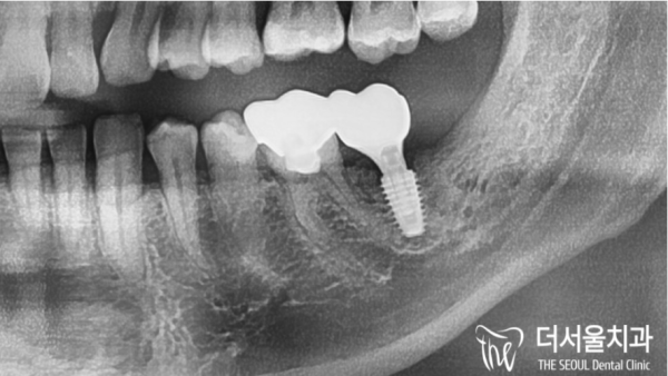
81bb394be5e83eb651429c353fb8b703_1690554715_9084.png
 

 

 

디지털치과인 태평역 더서울치과에서는 디지털임플란트인

네비게이션 임플란트 방식으로 임플란트 식립계획을 세우고

실제 임플란트 역시 모의수술을 한 그대로 심어드리고 있습니다.

 

보이시는 것 처럼 컴퓨터를 통해 조직과의 거리, 위치를 눈으로

확인하고 심을 수 있기 때문에 안전하고 정확하게 심을 수 있습니다.

The Seoul Dental Clinic in Taepyeong Station, a digital dental clinic, has digital implants

Plan for implantation using the navigation implant method

The actual implant is also being planted as it is.

 

As you can see, you can see the distance and location of the organization through the computer

You can check and plant it, so you can plant it safely and accurately.

 

81bb394be5e83eb651429c353fb8b703_1690554722_0681.png
 

 

치료는 이렇게 마무리 되었습니다.

주요 조직들과 가까운 위치때문에 쉬운 과정은 아니었지만

태평역치과 더서울치과에서는 안전하고 정확하게 임플란트를

심을 수 있었답니다.

 

The treatment ended like this.

It wasn't an easy process because of its proximity to major organizations

Taepyeong Station Dental Clinic The Seoul Dental Clinic provides safe and accurate implants

I was able to plant it.

 

 

81bb394be5e83eb651429c353fb8b703_1690554729_658.png
 

 

누워있는 사랑니, 매복사랑니 등 사랑니로 인해서

인접치에 문제가 생기는 경우가 많이 있습니다. 때문에

10대 후반~ 20대 초반에는 치과에 정기적으로 방문하여

사랑니 발치를 해야 하지는 않는지, 잘 관리가 되고 있는지

평소에도 정기적으로 잘 진료를 받는것이 중요합니다.

Because of wisdom teeth such as lying wisdom teeth and ambush wisdom teeth

Adjacencies are often problematic. Because

I visit the dentist regularly in my late teens and early 20s

I don't think I need to take out my wisdom tooth and see if it's being taken care of well

It is important to receive regular medical treatment regularly.

 

 

81bb394be5e83eb651429c353fb8b703_1690554735_8912.jpg
 

 

 

아프지 않을때 미리미리 치과에 오시는게

치료를 받을때에도 전혀 아프지않고 무섭지 않다는거!

잘 아시겠죠?!

Come to the dentist in advance when you're not sick

It doesn't hurt at all and doesn't scare me when I get treatment!

You know it well, right?

 

#태평역치과 #더서울치과 #성남치과 #사랑니발치 #인접치충치 #임플란트 #네비게이션임플란트

[출처] 태평역치과, <더서울치과> 앞 어금니뿌리에 영향을 준 사랑니 발치 후 임플란트까지 한 증례|작성자 더서울치과

 

이전글 Theseoul dental story 454
다음글 Theseoul dental story 452

목록보기