더서울치과이야기

Theseoul dental story 454

작성자 더서울치과 등록일 2023-07-28 23:34:13 조회수 1,346회 댓글수 0건

성남치과 <더서울치과>에서 자연치아를 살리는 마지막선택, 신경치료 해요

 

 

안녕하세요! 성남치과 더서울치과입니다.

저희 더서울치과에서는 많은 환자분들의 충치치료를 도와드리고 있습니다.

그 중 충치의 진행이 넓고 깊게 진행되다보면 치아 속에 있는 치수까지

손상이 생길 수 있고 통증을 느낄 수 있습니다.

 

충격을 받아서 치아의 파절로인해

또는, 광범위한 우식이 발생되었을 경우

치아의 치수가 손상, 감염될 수 있습니다.

이럴때 통상적으로 치아를 발치하지않고 그대로

사용할 수 있도록 보존하는 '신경치료'를 하게됩니다.

Seongnam Dental Clinic <The Seoul Dental Clinic>'s last choice to save natural teeth, nerve treatment

 

Hello! I'm Seongnam Dental Clinic The Seoul Dental Clinic.

We, The Seoul Dental Clinic, help many patients with cavities.

Among them, if the cavity progresses wide and deep, the size of the tooth

It can cause damage and feel pain.

 

 

I was so shocked that my teeth were broken teeth were broken

Alternatively, if widespread corruption occurs

Dimensions of teeth can be damaged or infected.

Usually, you don't take out your teeth

It's called "neurotherapy," which preserves it for use.

 

 

81bb394be5e83eb651429c353fb8b703_1690554810_0561.png
 

 

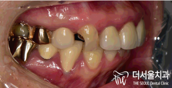
이 환자분은 오른쪽 송곳니가 파절되는 손상이 생기셔서

급하게 성남치과 더서울치과를 찾아주셨습니다.

상당히 불편하셨을것 같은데요.

 

이 환자분의 경우에는 충격을 받은것은 아니고

심한 충치로인해 치아가 부식되었고, 이를 방치한 결과

이렇게 치아가 파절되게 된 것으로 보입니다.

This patient has damage to his right fang

He urgently visited Seongnam Dental Clinic The Seoul Dental Clinic.

You must have been very uncomfortable.

 

In this patient's case, he wasn't shocked

The teeth were corroded by severe cavities, and as a result of neglecting them

It seems that this is how the teeth are broken.

 

 

81bb394be5e83eb651429c353fb8b703_1690554818_6686.png
 

 

 

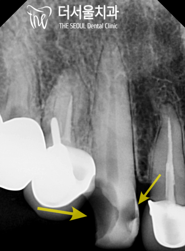
엑스레이 사진으로 파절이된 부위를 보면 치관 대부분에

우식이 퍼져있습니다.

거의 절반 가까운 파절이 일어났기 때문에

신경치료와 임플란트중에서 고민하게되었습니다.

If you look at the broken part of the crown with an X-ray

Woo-sik is spread out.

Almost half of them were broken

I was torn between nerve treatment and implantation.

81bb394be5e83eb651429c353fb8b703_1690554826_6451.png
 

 

이런경우에는 이미 심한 손상이 있고, 우식이 넓게 퍼져있기 때문에

어디까지 진행되었는지 알수없어서 신경치료가 쉽지 않았지만

보존과전문의가 있는 성남치과 더서울치과에서는 이러한 고난이도의

케이스도 잘 치료를 해 나갈 수 있습니다.

 

In this case, there's already severe damage and the beef cattle are spread out

Neurotherapy wasn't easy because we didn't know how far it went

Seongnam Dental Clinic The Seoul Dental Clinic, where there is a conservation specialist, has this difficulty

The case can also be treated well.

 

81bb394be5e83eb651429c353fb8b703_1690554832_5473.jpg
 

 

 

신경치료를 할때, 저희 더서울치과에서는 가장 중요하게 생각하는게

클램프와 러버댐을 이용한 완벽한 방습환경입니다.

만약 이 과정에 철저하지 못하면 치료를 하고 나서 2차 문제가 생길수도 있기 때문에

성남치과 더서울치과에서는 정말 중요하게 생각한답니다.

The most important thing about the Seoul Dental Clinic is

It is a perfect moisture-proof environment using clamps and rubber dams.

If you are not thorough in this process, you may have a secondary problem after treatment

Seongnam Dental Clinic The Seoul Dental Clinic thinks it's really important.

 

81bb394be5e83eb651429c353fb8b703_1690554838_3225.png
 

 

 

문제가 있는 치아의 감염된 조직을 제거하기위해

내부를 깨끗하게 처리합니다. 수차례 청소하고 소독하는것을 반복합니다.

이 부분이 번거로울 수 있지만, 신경치료가 성공하느냐 실패하느냐를

좌우하는 과정이기 때문에 아주 중요하게 꼼꼼히 해야 한답니다.

To remove the infected tissue from the problematic tooth

Clean the interior. Repeat cleaning and disinfection several times.

This can be a hassle, but I'm not sure if the nerve treatment works or not

It's a process that determines, so you have to be very important and meticulous.

 

81bb394be5e83eb651429c353fb8b703_1690554844_8818.png
 

 

 

그리고 치아의 뿌리끝까지 치과재료를 치워넣은뒤에

자연치아의 색과 유사한 보철을 제작하여 마무리하였습니다.

이렇게보면 정말 자연스럽게 잘 치료가 되었죠?!

And after you put the dental material away to the root of your teeth

We finished by making a prosthesis similar to the color of natural teeth.

If you look at it like this, it was treated very naturally, right?

 

81bb394be5e83eb651429c353fb8b703_1690554851_5922.jpg
 

 

많은 환자분들게서 치과에 가는것을 '치료할때 아플까봐' 두려워 하십니다.

저희 성남치과 더서울치과에서는 환자분들께서 조금이라도 편안하게,

덜 불편하게 치료를 받으실 수 있도록 계속 고민하고 노력하고 있습니다.

 

 

환자분들께서는 치료시 아플까봐, 두려울까봐를

고민하시는 것 보다 치아의 건강을 지키시기 위해

정기적으로 저희 더서울치과를 찾아주세요.

Many patients are afraid of going to the dentist because they're afraid it'll hurt when they're treated.

At Seongnam Dental Clinic The Seoul Dental Clinic, patients can comfortably,

We are continuing to think and try to make it less inconvenient for you to receive treatment.

 

 

I'm afraid patients will get sick or scared during treatment

Rather than worrying about it, to keep your teeth healthy

Please visit The Seoul Dental Clinic regularly.

 

#성남치과 #더서울치과 #신경치료 #송곳니신경치료 #근관치료 #보존과전문의

[출처] 성남치과 <더서울치과>에서 자연치아를 살리는 마지막선택, 신경치료 해요|작성자 더서울치과

 

이전글 Theseoul dental story 455
다음글 Theseoul dental story 453

목록보기