서울대학교
L O A D I N G
CLOSE닫기
더서울 디지털 임플란트

더서울치과 디지털 임플란트

100년의 치아 건강을 생각하는 더서울치과 임플란트

더서울만의
컴퓨터 분석을 활용한 임플란트

디지털 진단 후 컴퓨터 분석을 통한 모의수술 후 0.1mm 오차 없이 정확한 자리에 식립합니다.

Special 01

내원 감소

내원 횟수, 시간 단축

Special 02

통증 감소

더서울 통증완화시스템

Special 03

빠른 회복

발치 즉시 임플란트 식립

임플란트 설명

아프고 불편한 그 마음까지
알고 있습니다.

더서울치과의원은 환자분들의
임플란트를 식립하게 된 배경과
가지고 있는 불편함에 공감하고,

상실된 치아의 기능과 심미성 모두를 고려하여
임플란트를 식립합니다.

더서울을 만나 밥먹는게 즐거워요

더서울을 만나

밥먹는게 즐거워요

개수가 많아도, 고령으로 고난도가 예상되어도
더서울은 끝까지 만들어냅니다.

결과 예측 화살표 식립 성공

전체 치료 횟 수

271242
화살표

건 이상

2026.01.15 기준 / 덴트웹 자료
우리의 모든 치과 치료는 오직, 당신의 편안함을 위해

" 우리의 모든 치과 치료는 오직, 당신의 편안함을 위해 "

치아는 먹는 것과 직결되기 때문에, 치아가 하나 빠지면 빠른 치료가 필요합니다.
고민하는 동안 치료 시기를 놓쳐 더 큰 수술을 진행해야 하는 경우가 생각보다 많습니다.

더서울치과의원은 첫 방문도 아픈 마음까지 따뜻하게 상담 안내해 드리겠습니다.
언제나 당신의 미소를 보는 것이 더서울치과의원의 자부심입니다.

실제환자 인터뷰

Commitment to Safety

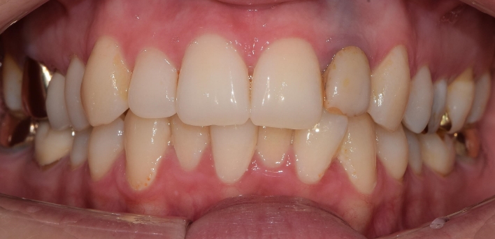
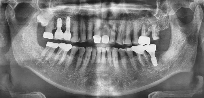
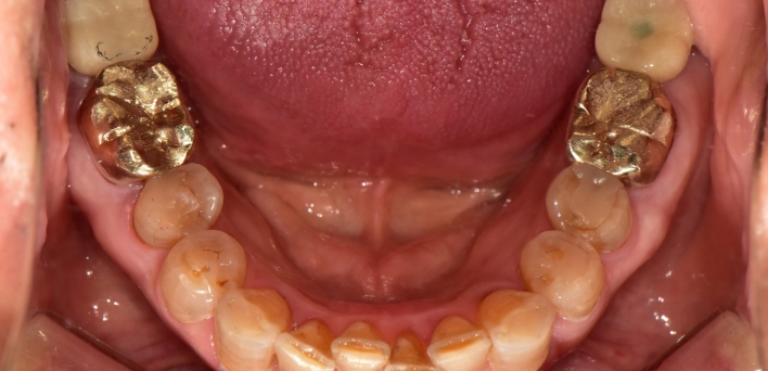
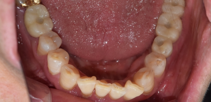
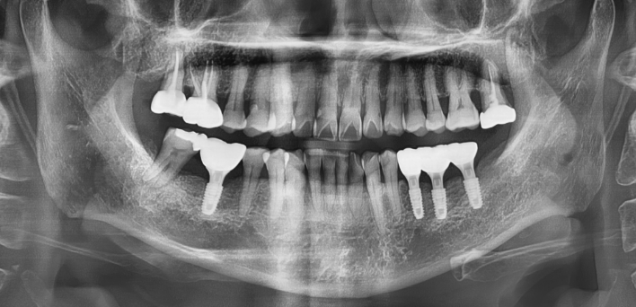
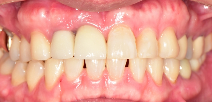
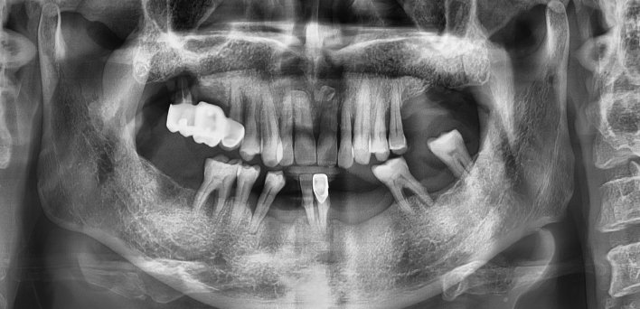
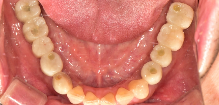
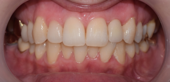
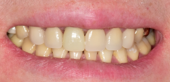
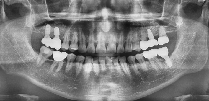
임플란트 : 손 ** 님 (50대)

치아가 있다는게, 아직도 정말 꿈만 같아요.

Before Before

2020.02.30

After After

2020.02.30

※ 더서울치과의원은 의료법을 준수하며 위 케이스는 실제 환자의 동의를 얻은 사례로 치료 전, 후가 동일한 환경에서 촬영되었습니다.
환자 케이스에 따라 부작용이 발생할 수 있습니다. 이 부분은 의료진의 충분한 상담과 체크를 통해 예방하고 줄일 수 있습니다.
[임플란트 부작용] 수술 후 관리가 소홀할 경우 출혈, 주위염 등의 부작용이 발생할 수 있어 구강 위생을 철저히 유지하고, 정기적인 검진을 통해 상태를 점검하는 것이 중요합니다.

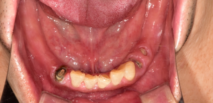
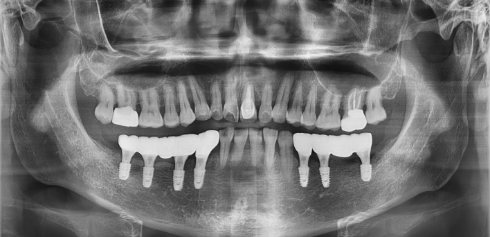
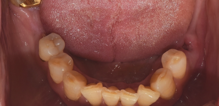
환자 특징

환자 특징01무치악 상태

환자 특징02수년간 무치악으로 지내심
임플란트가 불가능할것이라
생각하고 내원

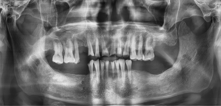
위, 아래 6개씩 식립
디지털 풀아치 임플란트

처음 이가 몇 개 빠졌을 때는 신경을 쓰지 않았는데..
모든 이가 빠지고 나서 제대로 먹지 못해서 살도 빠지고 체력도 떨어져서 기운이 없었어요..
이가 없어서 씹질 못하니 먹고 싶은 것도 제대로 못해서 살도 쭉쭉 빠지고 남들하고 제대로 얘기를 못하고
밥도 같이 못 먹었죠.. 솔직히 시원하게 먹는게 소원이었습니다.

그러다 보니 알게 모르게 스트레스 받고 많이 힘들었어요. 찾아보다가 디지털 풀아치를 알게 되었고,
저도 하고 싶었지만 많이 아프다는 얘기를 들어서 겁나고 떨려서 못했습니다.
그런데 마침 더서울치과에서 저희 친형님이 먼저 수술하시고 저도 이끌려서 오게되었는데
상담부터 너무 친절하게 안내해주시고 겁이 났는데 무통마취로 하나도 안아프게 금방 끝내주셨습니다.

임시 치아라고 조심하라고 하셨는데 수술하고 맛동산까지 먹었습니다.
제가 직접 후기를 인터뷰해서 저같은 많은 분들께서 위로와 용기를 얻으셨으면 합니다.
수술 생각도 못하다가 더서울치과를 만나서 진작에 할 걸 싶습니다. 너무 감사합니다.

간편 회원가입 후
로그인 확인

로그인

※ 더서울치과의원은 의료법을 준수합니다. 의료법에 따라 로그인 후 추가 내용을 확인하실 수 있습니다.

발치 즉시, 임플란트 식립으로
바로 식사가 가능한 임플란트

*상태에 따라 다를 수 있으며 전문의의 상담이 필요합니다.

The Seoul Dental Sleep Treatment Surgery Team

발치 즉시, 임시치아 완료

발치 즉시, 임시치아 완료

발치 즉시, 식사는 어떻게 할 지 고민되셨나요?
더서울치과의원은 발치 즉시 임플란트 식립으로 일상생활을 지켜드립니다.

더서울치과, 얼마나 많은 치료를 진행했을까요?

임플란트, 하는 것이 아닌 하는 것이 중요합니다.
더서울치과의원은 다수의 임플란트 수술 경험을 토대로 정확한 디지털 기반 진단,
환자에게 가장 적합한 수술 방법으로 내 치아처럼 오래 사용하는 임플란트를 식립합니다.

98plus

최고령 임플란트 환자 나이

2025.09.25 기준

최고령 임플란트 환자 나이 98세
더서울치과의원은 결과로만, 증명합니다.

치아가 없어, 음식을 씹지 못했던 환자분
더서울이 당신의 저녁을 찾아드립니다

음식의 즐거움을 다시 느끼는,
나에게 꼭 맞는 컴퓨터 분석을 활용한 임플란트

더서울치과의원은 당신이 당신의 나이를 즐길 수 있도록, 당신의 저녁이 행복할 수 있도록
환자분의 마음을 이해하고, 맞춤 치료를 진행합니다.

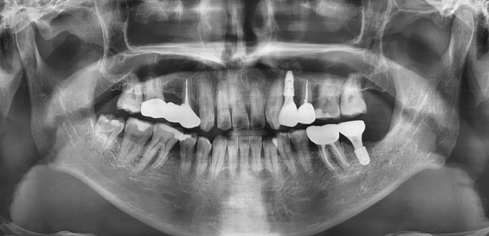
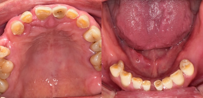
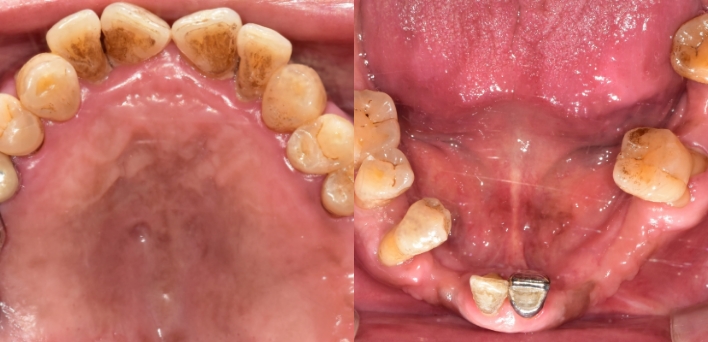
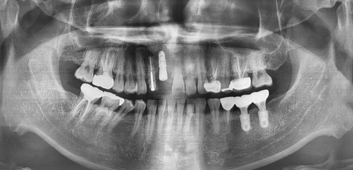
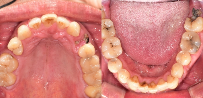
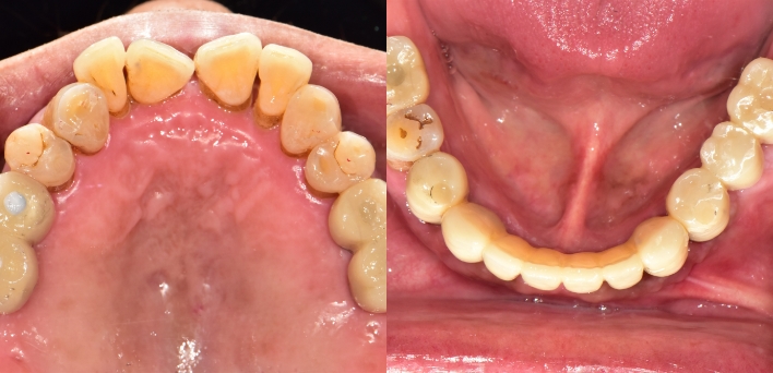
임플란트 케이스

임플란트 Before & After

The seoul dental clinic

이전
다음
치료 기록 더보기버튼

※ 더서울치과의원은 의료법을 준수하며 위 케이스는 실제 환자의 동의를 얻은 사례로 치료 전, 후가 동일한 환경에서 촬영되었습니다.
환자 케이스에 따라 부작용이 발생할 수 있습니다. 이 부분은 의료진의 충분한 상담과 체크를 통해 예방하고 줄일 수 있습니다.
[임플란트 부작용] 수술 후 관리가 소홀할 경우 출혈, 주위염 등의 부작용이 발생할 수 있어 구강 위생을 철저히 유지하고, 정기적인 검진을 통해 상태를 점검하는 것이 중요합니다.

더서울치과는 보건복지부 인정 '치과의원' 임을 명시합니다.

※ 더서울치과의원은 의료법에 따라 의원 명칭을 정확히 표기하며, 모든 의료 정보는 관련 법령을 준수하여 제공합니다.

- 더서울치과 의원 -