더서울을 만나, 이제 치아도 숨을 쉽니다.
치아 삭제량을 줄여 치아보존으로 진행하는 숨쉬는 라미네이트
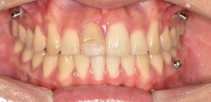
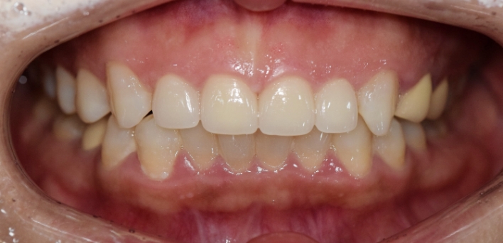
정확한 안모 맞춤형 분석
치아 삭제량을 줄여 치아 보존
오전 내원, 오후 부착 치료
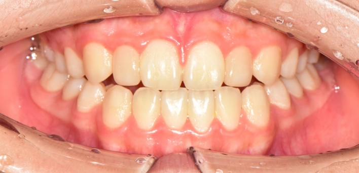
Aesthetic treatment that preserves natural teeth
더서울치과의원은 개인의 얼굴과 가장 잘 어울리는 치아의 형태와 색상을 분석하고,
분석한 데이터를 기반으로 맞춤형 보철을 진행합니다.
우리 얼굴에서 미소는 첫인상을 좌우합니다. 이런 좋은 인상을 위해 라미네이트를 고려 중이시라면,
많은 것들을 고려해야 합니다. 라미네이트 시 무조건 하얗고, 얇기만 한 치아가 좋은 것은 아닙니다.
개개인의 얼굴마다 비율에 맞게 이상적인 치아의 형태가 있습니다.
더서울치과의원은 정확한 안모 분석을 통한 프로파일 예측 치료로 심미성은 물론 치아 본연의 기능 회복까지 가능하도록
안면 근육과 기능, 치아 형태, 비율, 크기, 교합, 색감 등 전반적인 비율을 맞추어 본인에게 잘 맞는 치아의 형태로 복원합니다.
단순하게 예쁘고, 심미적으로 만드는 인위적인 작업물이 아닌,
자연치아와 가장 유사하도록 치아를 복구하는데에 초점을 맞추어
치아복구 + 치아성형 2가지의 장점을 합쳐
개개인 손상 정도에 따른 맞춤형 보철을 제작합니다.
심미보철계의 Ceramist,
국제적인 치과 심미 연구 그룹 오랄디자인 서울 기공소에서 만드는
수제작 라미네이트
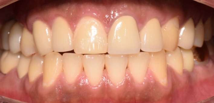
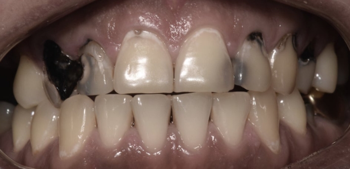
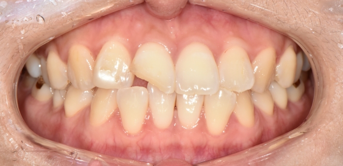
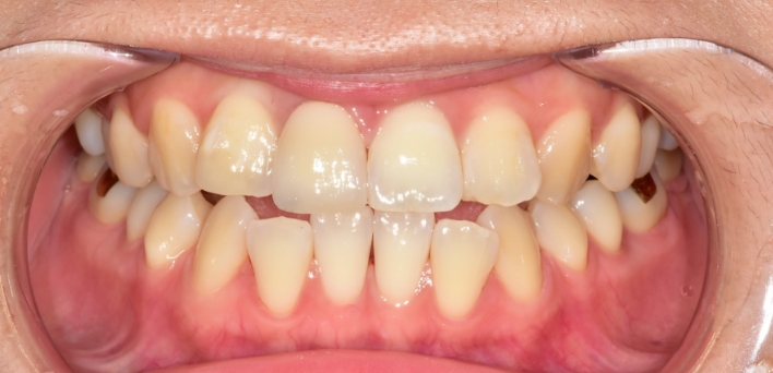
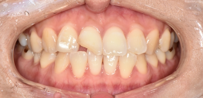
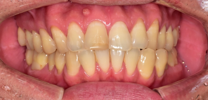
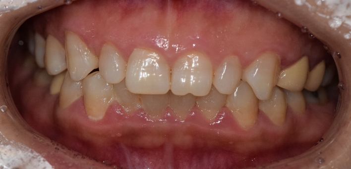
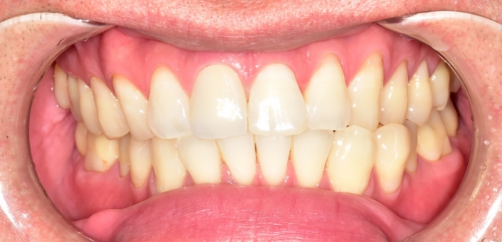
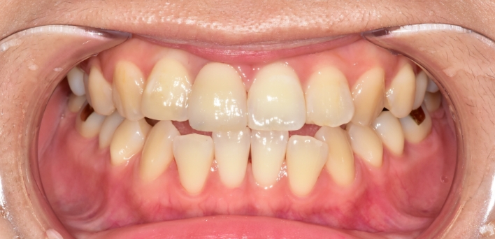
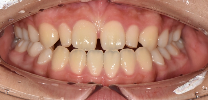
※ 더서울치과의원은 의료법을 준수하며 위 케이스는 실제 환자의 동의를 얻은 사례로 치료 전, 후가 동일한 환경에서 촬영되었습니다.
환자 케이스에 따라 부작용이 발생할 수 있습니다. 이 부분은 의료진의 충분한 상담과 체크를 통해 예방하고 줄일 수 있습니다.
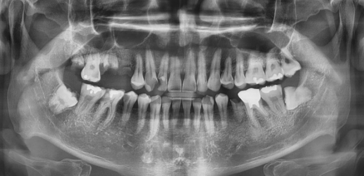
[심미치료 부작용] 시술 후 치아 시림, 보철물 파손 등의 부작용이 발생할 수 있어 개인별 치아 상태에 따른 정확한 진단과 사후 관리가 중요합니다.
"더서울치과의원은 치아로 고민하는 모든 분들께
언제나 진정성 있는 마음으로,
나에게 잘 맞는
자연스러운 치아를 선물합니다."
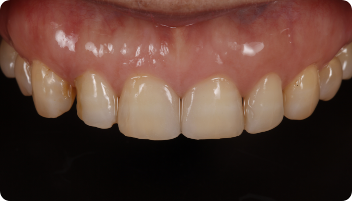
그저 예쁘기만한 부자연스러운 라미네이트가 아닙니다.
더서울치과의원은 각 개인의 얼굴 특성에 맞는 맞춤형 라미네이트를 선물합니다.

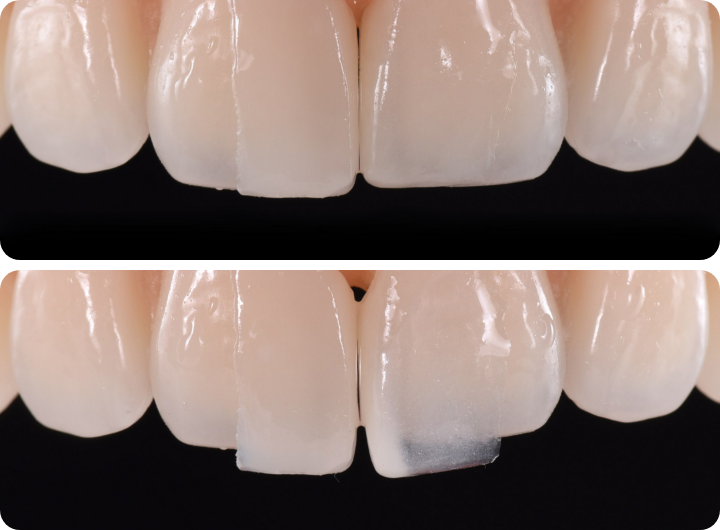
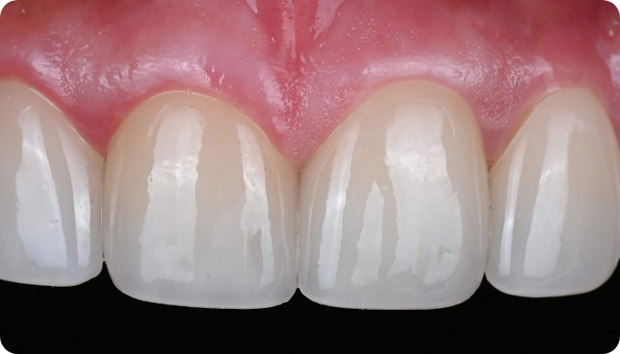
강도를 잡은
리튬 다이 실리케이트
0.1mm 얇기의
자연스러운 보철물
투명감과 색상을 적용하는
섬세한 보철 작업
Custom Nanonate PROCESS
01
02
03
Differentiated The Seoul Nano Nate
01
얇고 투명한 투과율로 높은 심미성, 높은 강도를 자랑하는 리튬 다이 실리케이트 블럭을
이용하여 적은 치아 삭제로 이상적인 치아를 복원이 가능합니다.
02
두꺼울수록 치아 삭제량이 많아지는 기존의 방식을 보완한
매우 얇고 치아에 잘 맞는 0.1mm 두께 보철로 자연스러운 라미네이트를 진행합니다.
03
심미보철 진행 후 가장 걱정되는 부분인 변색 부분에서도,
치료 이후 변색과 착색이 적어 오랫동안 높은 지속성을 경험하실 수 있습니다.
The seoul dental clinic
※ 더서울치과의원은 의료법에 따라 의원 명칭을 정확히 표기하며, 모든 의료 정보는 관련 법령을 준수하여 제공합니다.